作者
郭启勇
案例诊断
肥厚型心肌病
病例摘要
病历摘要
1.临床资料
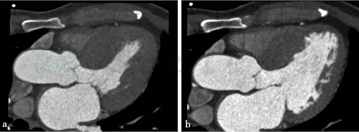
病例3,女性,38岁,心慌、心悸、胸闷1年,无高血压、糖尿病病史。
2.影像所见
病例3:心脏CTA扫描四腔位收缩期与舒张期。

图1 图1a,左心室于收缩期显示心肌壁明显增厚,室间隔厚约4cm,以室间隔尤重。图1b,左心室于舒张期显示心肌壁增厚,室间隔厚约2.4cm,左心室舒张功能减弱
诊断
病例3,肥厚型心肌病。
此内容为收费内容



