作者
郭启勇
案例诊断
急性肺栓塞;慢性肺栓塞
病例摘要
病历摘要
1.临床资料
(1)病例4,女性,72岁,胸闷、胸痛、气短1天。
(2)病例5,女性,57岁,活动后气短10年,下肢水肿6年余,加重2个月。
2.影像所见
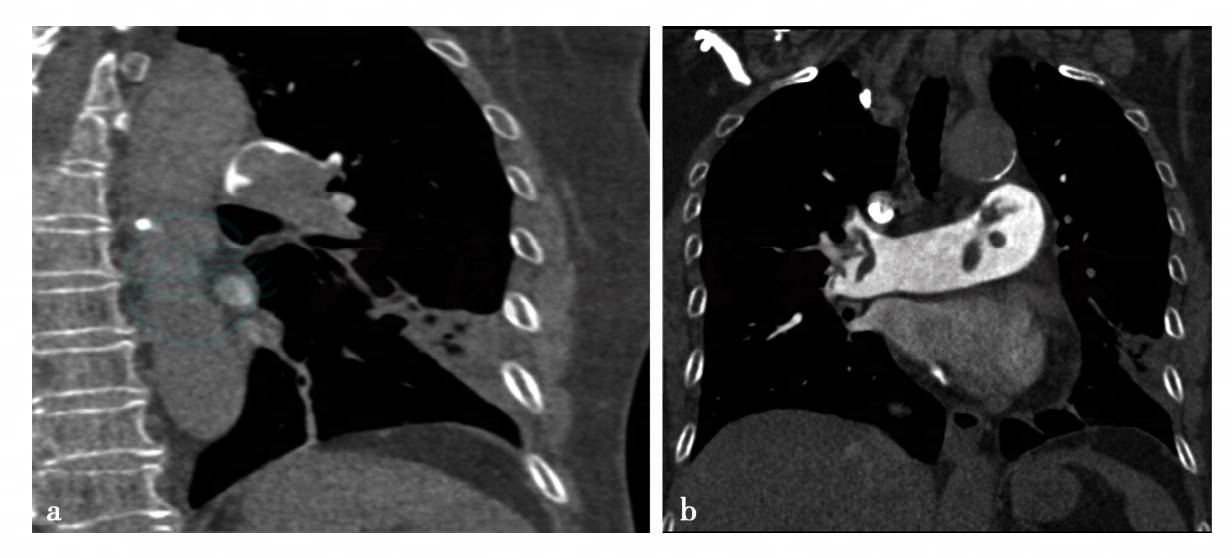
(1)病例4:
心脏与肺CT矢状位与冠状位重建。

图1 图1a~b,左、右肺动脉干及分支内多发低密度充盈缺损。
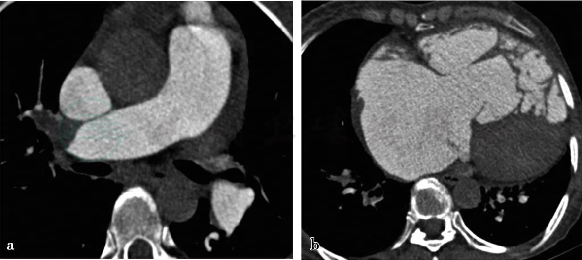
(2)病例5:
心脏与肺CT增强。

图2 图2a,双肺动脉多发低密度充盈缺损。图2b,肺动脉增粗,主肺动脉径约3.9cm,右心房、右心室明显增大
诊断
(1)病例4,急性肺栓塞。
(2)病例5,慢性肺栓塞。
此内容为收费内容



