作者
                        		郭启勇
                        	
       	 				
                        	
                        	
                        		案例诊断
                        		空肠腺癌伴套叠
                        	
       	 				
                        	
                        	
                        		病例摘要
                        		病历摘要
1.临床资料
病例9,男性,42岁,右下腹疼痛1年,加重2天,肛门停止排气排便半天。体格检查:腹部稍膨隆,右下腹可见一包块,拳头大小。实验室检查:大便潜血(-/+)。
2.影像所见
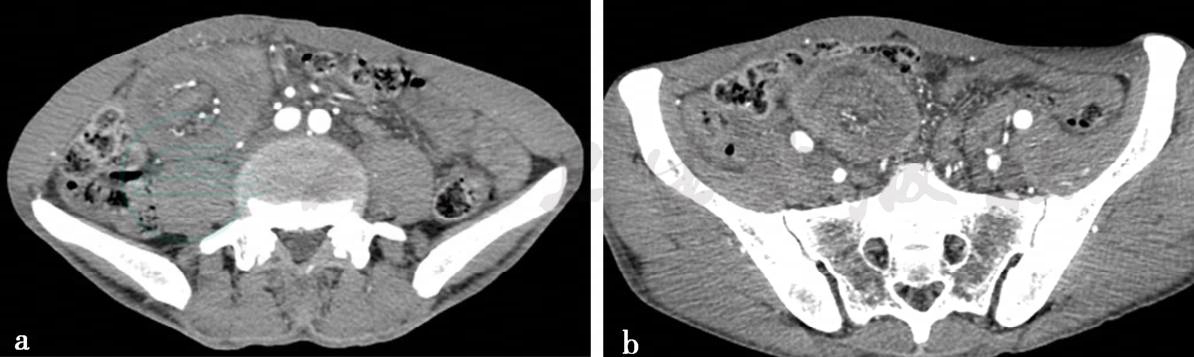
病例9:CT增强扫描图(空肠腺癌伴套叠)。

图 图1a、b,小肠双期增强CT静脉期图,分别显示不同层面。右下腹可见同心圆的套叠征象
诊断
病例9,空肠腺癌伴套叠。
此内容为收费内容
                        	
                        	
       	 				
                        
                	


   