作者
                        		郭启勇
                        	
       	 				
                        	
                        	
                        		案例诊断
                        		升结肠癌
                        	
       	 				
                        	
                        	
                        		病例摘要
                        		病历摘要
1.临床资料
病例10,女性,82岁,腹痛半年,黏液样便2个月。感下腹隐痛半年余,便秘腹泻交替数月,近两月来大便呈黏液样。体格检查:消瘦体型,右下腹轻压痛,可触及包块,腹部无膨隆。实验室检查:大便潜血(+),CEA 23μg/L,CA-125 88μg/L。
2.影像所见
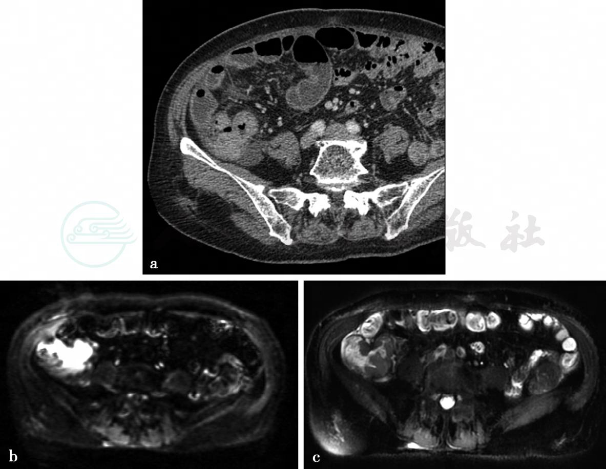
病例10:CT增强扫描及MRI平扫及弥散加权图(升结肠癌)。

图1 图1a,CT增强静脉期图。图1b、c,分别为轴位T2WI及DWI图。升结肠肠壁增厚,轻度强化,MRI上呈稍长T2信号,DWI上为高信号
诊断
病例10,升结肠癌。
此内容为收费内容
                        	
                        	
       	 				
                        
                	


   