作者
                        		郭启勇
                        	
       	 				
                        	
                        	
                        		案例诊断
                        		小肠淋巴瘤;贲门胃底淋巴瘤
                        	
       	 				
                        	
                        	
                        		病例摘要
                        		病历摘要
1.临床资料
(1)病例11,女性,42岁,腹痛2年。感下腹隐痛半年,大便性状无改变。体格检查:右下腹轻压痛,可触及包块,腹部无膨隆。实验室检查:无特殊。
(2)病例12,男性,30岁,腹痛半年,左上腹痛并进食后加重。
2.影像所见
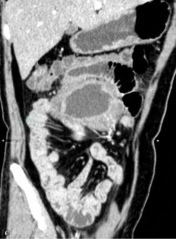
(1)病例11:
CT平扫、增强扫描及重建图(小肠淋巴瘤)。
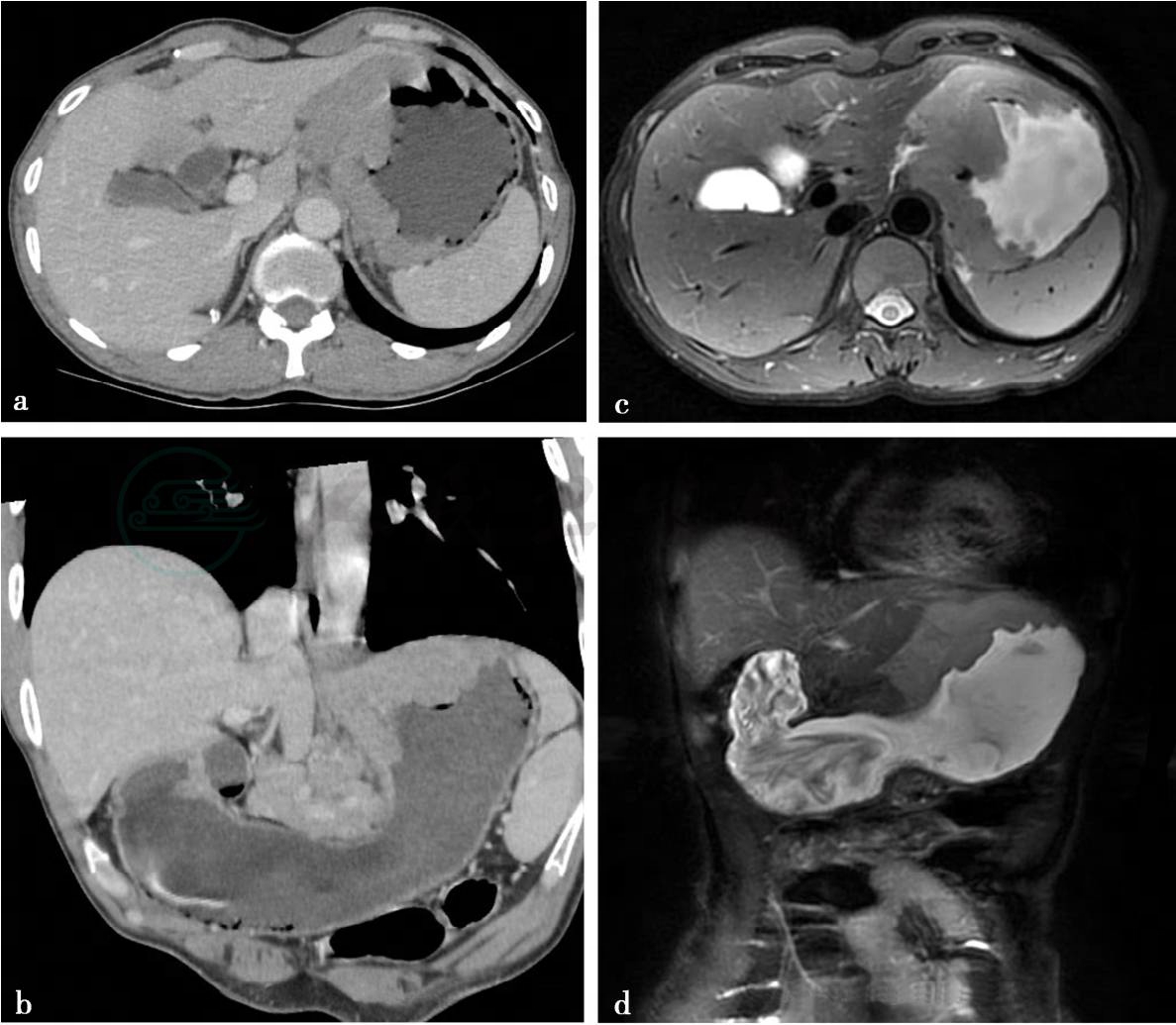
(2)病例12:
CT增强扫描重建图及MRI扫描(贲门胃底淋巴瘤)。

图1 图1a,CT平扫图。图1b,CT增强动脉期。图1c,MPR重建图。局部小肠肠壁增厚,但肠腔扩张可见气液平面

图2 图2a,CT增强静脉期。图2b,MPR重建图。图2c,轴位T2WI。图2d,冠位T2WI。贲门胃底可见广泛增厚,CT上轻度强化,MRI上呈稍长T2信号
诊断
(1)病例11,小肠淋巴瘤。
(2)病例12,贲门胃底淋巴瘤。
此内容为收费内容
                        	
                        	
       	 				
                        
                	


   