作者
郭启勇
案例诊断
功能不全骨折
病例摘要
病历摘要
1.临床资料
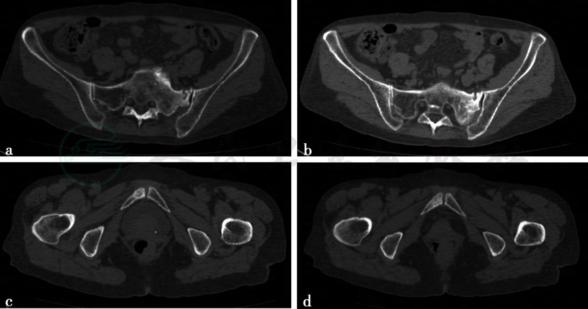
病例3,75岁,女性,腰骶部及臀部疼痛,有肺癌病史。
2.影像所见
病例5-1-3:CT平扫。

图1 图1a~d,骨盆CT平扫(骨窗),骶骨左侧可见骨折线,周围伴有反应性改变。右侧耻骨下支密度不均匀升高
诊断
病例3,功能不全骨折。
此内容为收费内容



