病历摘要
1.临床资料
(1)病例3,女性,42岁,左膝关节疼痛肿胀3个月,加重1周。体格检查:左膝关节肿胀,浮髌试验(+),研髌试验(+)。实验室检查:血常规及生化检查无异常。
(2)病例4,男性,51岁,左膝关节肿胀伴麻木3天,无活动受限,蹲起时加重。体格检查:左膝略肿胀,腘窝处肿胀明显。实验室检查:血常规及生化检查无异常。
2.影像所见
(1)病例3:
MRI平扫及增强扫描。


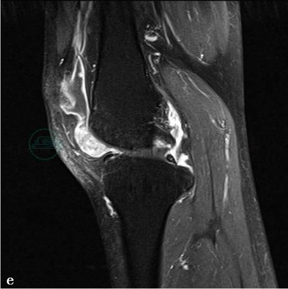
图1 图1a~c,MRI平扫示左膝关节前方髌下关节囊内可见一类圆形占位病变,病灶边缘较清楚,大小约2.3cm× 1.5cm。图1a,病灶在T1WI上呈低信号。图1b,在T2WI脂肪抑制像上呈稍高信号,边界清楚。关节囊内有较多液体信号影,并包绕上述占位病变。内、外侧半月板无异常。前、后交叉韧带连续。髌前软组织内可见高信号。图1d、e,MRI增强扫描示左膝关节前方髌下关节囊内类圆形占位病变明显强化,但信号不均匀。关节囊滑膜弥漫性增厚
(2)病例54:
MRI平扫及增强扫描。


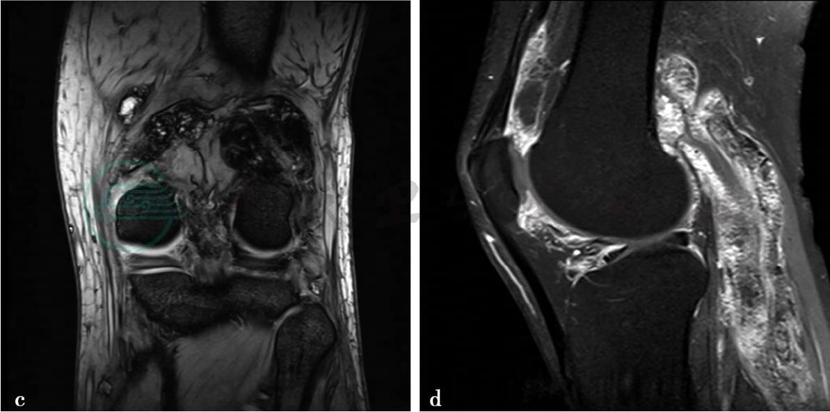
图2 图2a~c,MRI平扫示左股骨远端后方及腘窝软组织内可见多发不规则病灶。图2a,病灶在T1WI上呈低信号。图2b,在T2WI脂肪抑制像上呈高低混杂信号。图2c,MEDIC序列像上呈低信号,边界不清楚。左股骨远端后方异常信号呈类圆形,大小约2.4cm×1.1cm。膝关节后下侧病灶呈长带状,大小约12cm×3.5cm。半月板未见异常。关节囊内可见少量液体信号。图2d,MRI增强扫描示左膝关节滑膜明显增厚强化,上述平扫时显示的膝关节后侧软组织影,呈明显多发结节样强化,其内散在小点状及条形低信号
诊断
病例3、病例4均为左膝关节色素沉着绒毛结节性滑膜炎。



