病历摘要
1.临床资料
(1)病例5,男性,48岁,右胫骨下段红肿疼痛反复发作30余年,7个月前症状加重,脓肿形成,当地诊所给予切开排脓,静脉点滴头孢类抗生素,症状缓解。但切口愈合缓慢,形成窦道。窦道内反复渗出流脓,外用“膏药”,疗效不佳。实验室检查:血常规和生化检验值在正常范围内。
(2)病例6,男性,21岁,左大腿远端后侧窦道口反复流脓、不愈合8个月。窦道口直径长约1cm。实验室检查:血常规及生化无异常。
2.影像所见
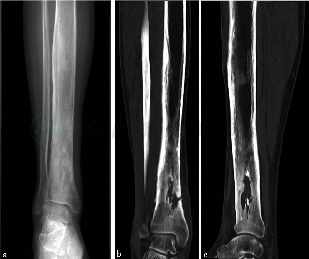
(1)病例5:
X线、CT平扫。

图1 a,X线示右胫骨中下段骨干增粗,骨皮质不规则增厚,远端骨皮质边缘毛糙。骨髓腔内密度不均匀增高,腓骨无异常,周围软组织无异常。图1b、c,CT平扫示右胫骨中下段骨干增粗,骨皮质不均匀增厚,其内侧缘局部皮质中断。髓腔内密度不均匀,可见溶骨性破坏及片状骨质硬化,病灶周围软组织肿胀
(2)病例5:
MRI平扫及增强扫描。

图2 图2d~f,MRI平扫示右胫骨中下段骨干增粗,骨皮质不均匀增厚,骨髓腔内可见溶骨性骨质破坏。图2d,T1WI上呈低信号。图2e,T2WI脂肪抑制像上呈稍高信号。图2f,MEDIC序列像上呈高信号,信号不均匀,可见斑点状低信号和窦道形成;周围软组织明显肿胀
(3)病例6:
CT平扫及MRI平扫。



图3 图3a、e、f,CT平扫示左股骨中下段骨皮质不规则增厚,骨髓腔变窄,其后方骨皮质局部缺损,相邻软组织肿胀。骨髓腔内可见大片状溶骨性破坏及骨质硬化。图3b~d,MRI平扫示左股骨中下段骨皮质不均匀增厚,后侧有一缺损。图3b,T1WI上呈低信号。图3c,T2WI脂肪抑制像上呈高信号,信号不均匀。骨髓腔内病灶通过后侧缺损的骨皮质向后侧软组织延伸,致大腿后侧软组织广泛肿胀
诊断
(1)病例5,(右胫骨下段)慢性骨髓炎。
(2)病例6,(左股骨下段)慢性骨髓炎。
病历摘要
1.临床资料
(1)病例7,男性,53岁,3年前外伤导致左肾破裂,行造瘘引流术后痊愈。1年前复查,做双肾CT检查考虑左肾结核,后口服抗结核药物治疗。8个月前出现腰痛伴双下肢疼痛。双下肢肌力Ⅲ级。实验室检查:血常规及生化检查无异常,红细胞沉降率30mm/h。
(2)病例8,男性,43岁。腰痛伴活动受限2个月余。1个月前出现午后低热(38℃左右),服用“板蓝根”后退热,午后低热持续约1周,之后未发热,现疼痛加重。体格检查:腰骶部压痛、叩击痛,腰部活动受限,



