病历摘要
1.临床资料
(1)病例1,男性,27岁,左大腿远端疼痛4个月,加重1个月,卧床3天。体格检查:左膝关节肿胀,压痛明显,活动受限。实验室检查:血常规及生化检查无异常。
(2)病例2,男性,23岁,1个月前无明显诱因出现右膝疼痛,行走时加重,休息后缓解,无夜间痛。体格检查:右股骨远端外侧压痛、叩击痛。
2.影像所见
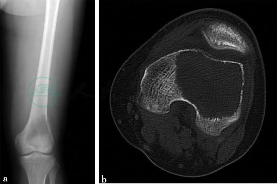
(1)病例1:
X线、CT平扫及MRI平扫。


图1 图1a,X线示左股骨远端可见偏向股骨外侧髁的偏心性骨质破坏,病灶大小约6.3cm×7.9cm,边缘较清楚,无硬化边。病灶位于股骨远端,越过骨骺线,直达关节面骨皮质下,受累骨皮质完整。无骨膜反应。周围软组织清晰,无异常表现。图1b~d,CT示左股骨远端偏心性骨质破坏,病灶大小约6.3cm×7.9cm,略成膨胀性改变,边缘较清楚,无硬化边,密度较均匀,CT值约30HU。外侧骨皮质部分缺损,病灶内组织通过破损的皮质向外侧略突出,无骨膜反应。图1e、f,MRI示左股骨远端膨胀性骨质破坏,边界较清楚,病灶组织向外侧略突出于皮质外。图1e,病灶在T1WI上呈低信号。图1f,在T2WI脂肪抑制像上呈略高信号,其内有多个圆形的更高囊状信号影,其中一个较大,无液-液平面。无明确骨膜反应表现
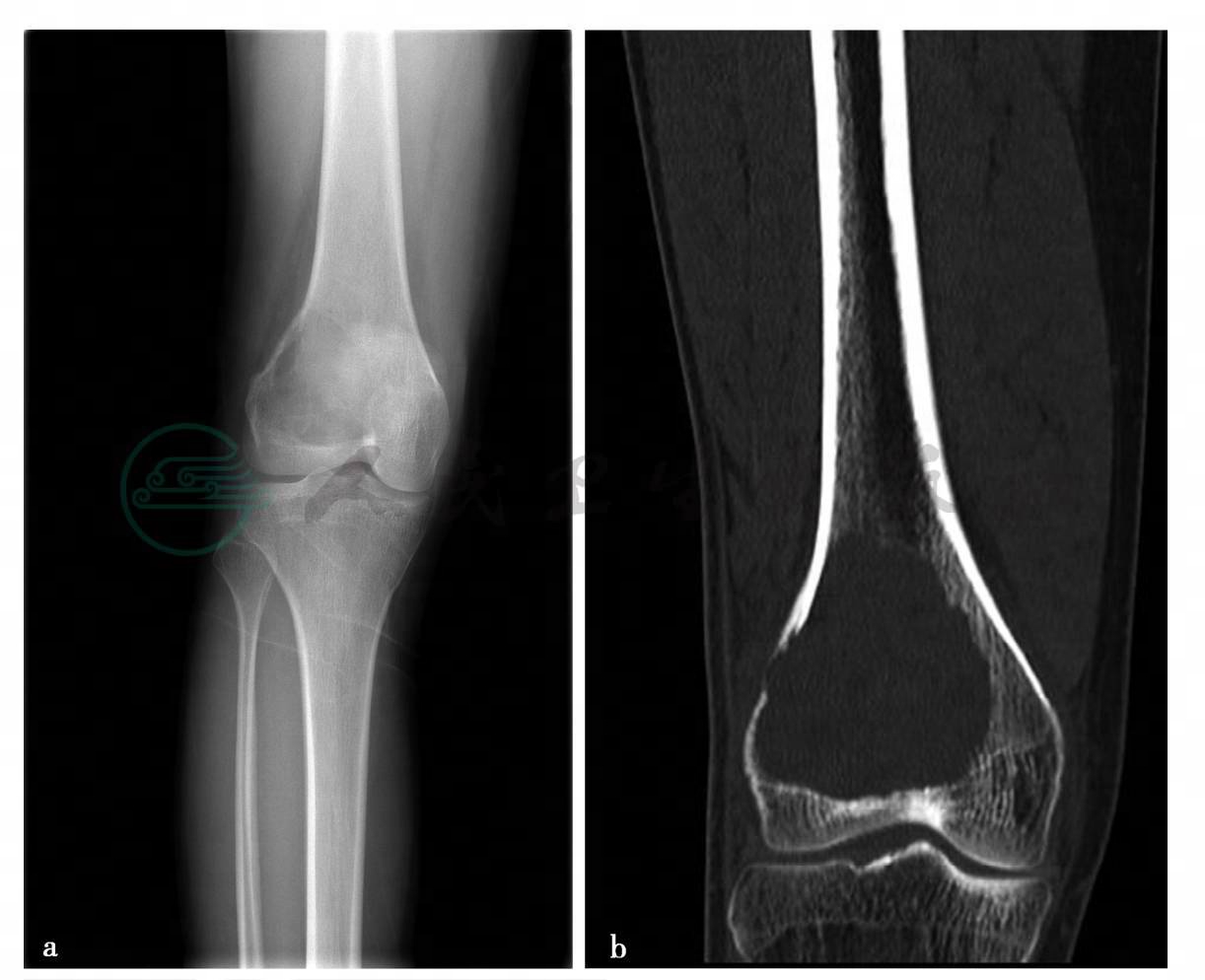
(2)病例2:
X线、CT平扫。


图2 图2a,X线示右股骨远端可见偏向股骨外侧髁的偏心性骨质破坏,病灶大小约6cm×6.5cm,边缘较清楚,无硬化边。病灶位于股骨远端,越过骨骺线,离关节面最近处约0.8cm。受累骨皮质完整,无骨膜反应。周围软组织清晰,无异常表现。图2b、c,CT示右股骨远端偏心性骨质破坏,病灶大小约6cm×6.5cm,略成膨胀性改变,边缘较清无硬化边,密度较均匀,CT值约35HU。后外侧骨皮质部分缺损,病灶内组织通过破损的皮质向后侧突出。无骨膜反应
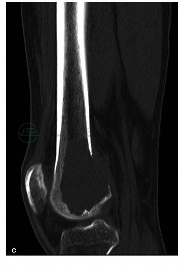
(3)病例2:
MRI平扫。

图3 图3d~f,MRI示右股骨远端膨胀性骨质破坏,边界较清楚,病灶组织向后侧略突出皮质外。图3d,病灶内容物在T1WI上呈低信号。图3e、f,在T2WI脂肪抑制像上呈略高信号,在远侧病灶内有多个圆形的更高小囊状信号影,无液-液平面。无明确骨膜反应
诊断
(1)病例1,(左股骨远端)骨巨细胞瘤合并动脉瘤样骨囊肿。
(2)病例2,(右股骨远端)骨巨细胞瘤合并动脉瘤样骨囊肿。



