作者
郭启勇
案例诊断
(右乳腺)导管原位癌
病例摘要
病历摘要
1.临床资料
病例1,女性,42岁,常规检查于乳腺X线上发现右乳成簇钙化。体格检查:双侧乳房体积中等,无明显下垂,右乳腺内未触及明显肿物,皮肤和乳头正常,双腋下及锁骨上未触及肿大淋巴结。
2.影像所见
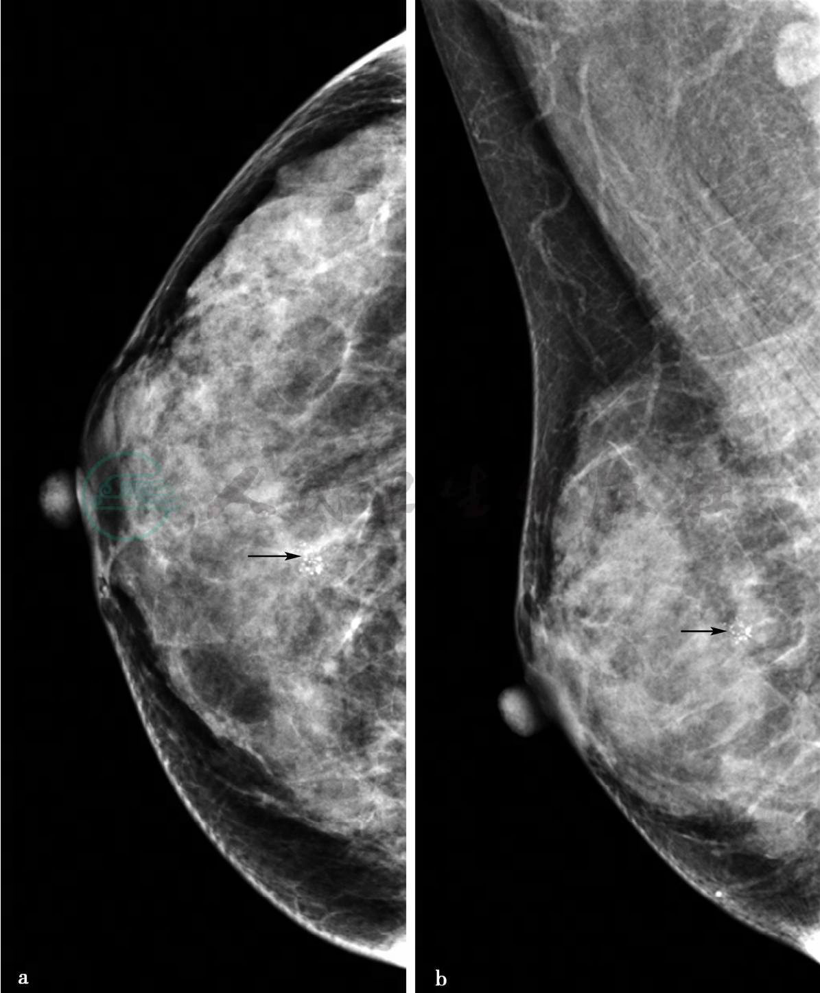
(1)病例1:
X线。


图1 图1a,右乳X线头尾位。图1b,右乳X线内外斜位。图1c,右乳X线头尾位钙化局部放大。图1d,X线导向下右乳钙化区域金属丝定位图像。图1e,右乳病变切除术后标本X线。X线显示双乳呈不均匀致密型乳腺,右乳内上方可见成簇不均质钙化,范围约0.8cm×0.7cm(图a、b、c箭头所示),其余未见明显异常
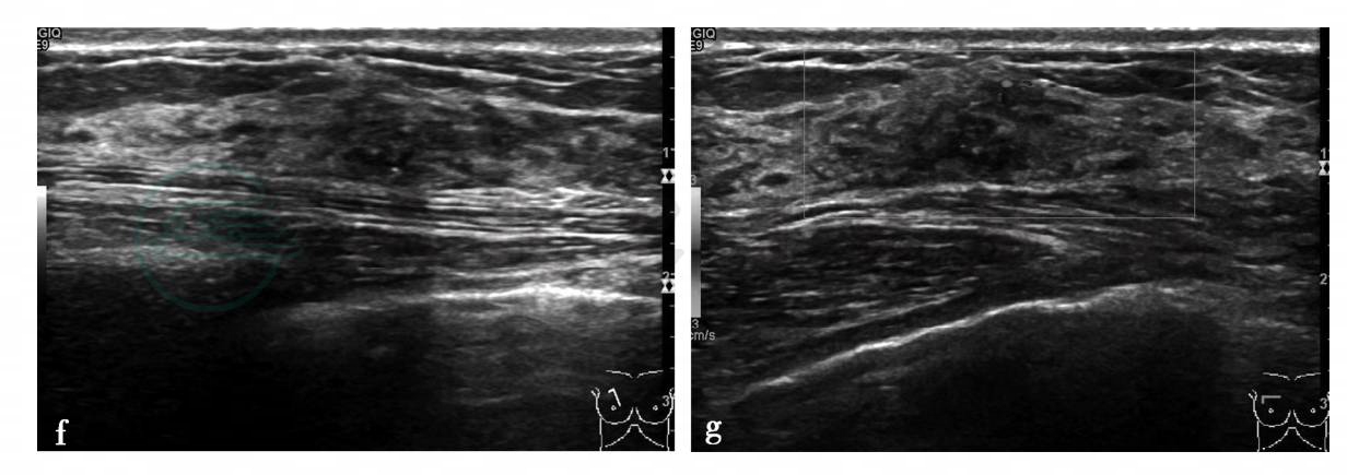
(2)病例1:
超声及彩色多普勒血流图。

图2 图2f,右乳病变二维超声图。图2g,右乳病变彩色多普勒血流图。超声显示右乳稍内上方局限低回声区,范围约0.9cm×0.6cm,边界不清,内部回声不均匀,其内可见点状强回声。图2g,CDFI示可见较粗大血流信号
(3)病例1:
MRI平扫及增强扫描。


图3 图3h~k,分别为MRI动态增强前及增强后1min、2min、8min。图3l,MRI容积重建(VR)图(见文后彩图)。图3m,病变时间-信号强度曲线图。图3h~k,MRI显示右乳稍内上方(相当于X线片成簇钙化区域)局限异常强化病变,范围约2.8cm×2.3cm× 1.6cm。图3m,多点测量时间-信号强度曲线呈平台型和轻度流出型
诊断
病例1,(右乳腺)导管原位癌,以粉刺型及低乳头状型为主,核分级Ⅱ级。
此内容为收费内容



