作者
郭启勇
案例诊断
男性乳腺发育症
病例摘要
病历摘要
1.临床资料
病例1,男性,50岁,左乳肿块发现3个月。体格检查:双乳不对称,右乳正常男性发育,左乳肥大,左乳晕触及4.5cm×5.3cm×3.5cm肿物,质地软,边界不清,有触痛,皮肤、乳头正常。
2.影像所见
病例1:X线、超声及彩色多普勒血流图
诊断
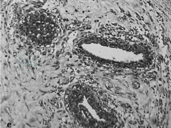
病例1,病理涂片。

图1 e,病理结果:男性乳腺发育(见文后彩图)
诊断:病例1,男性乳腺发育症
此内容为收费内容



