额叶,腔隙性梗死,抑郁发作,精神障碍
患者男性,59岁,因“记忆力下降1年,言行消极、多疑半年,加重1个月”于2014年1月6日入精神科病房。患者妻子提供病史。
现病史:患者一年前开始出现记忆力下降,有时忘记自己的物品所放地点,走到菜市不记得要买什么菜,见到熟人不记得其名字。半年前逐渐出现情绪改变,无故心烦,自觉度日如年,开心不起来,终日闷闷不乐。总感觉生活没有乐趣,兴趣减退,以前喜欢和朋友一起打牌、钓鱼,现在也觉得没什么意思。行为改变,整日呆在家中,少言懒动,交往减少。敏感多疑,认为有人要害自己,要用法术控制自己,感到紧张、心悸、害怕,整日求神拜佛。食欲差,早醒。1个月前病情加重,有时凭空听到有人喊自己的名字,讲自己的坏话。情绪低落,整日唉声叹气,觉得生无所恋,活着很痛苦,拖累家人,和妻子说“活不了了”“死了算了”。曾半夜趁妻子睡觉时用领带勒颈企图自杀,所幸妻子及时发现,予以制止。曾就诊于当地精神病医院,具体诊断不详,先后予“奥氮平、盐酸文拉法辛、右佐匹克隆、阿普唑仑”等治疗,症状未见明显好转,且自杀观念加重,多次趁家人不注意用领带上吊、用刀割腕。因自杀风险大而到某综合医院精神科就诊,门诊拟诊“精神分裂症?伴有精神病性症状的抑郁发作?”收入院。患者平时进食差,近半年体重下降约15kg。病后否认高热、抽搐、二便失禁、摔倒史。
既往无抑郁等精神障碍史,否认糖尿病、高血压、心脏病史。个人史、家族史无特殊。
体格检查:体温36.5℃,脉搏88次/分,呼吸20次/分,血压122/88mmHg。神志清楚,心、肺、腹查体无明显异常。四肢肌力、肌张力正常,生理反射存在,病理反射未引出。
精神状况检查:意识清晰,定向准确,面容疲惫。接触被动,问多答少,语音偏低。有言语性幻听、评论性幻听及被害妄想,内容均与抑郁心境有关。情绪低落,烦躁,兴趣减退。悲观消极、自责自罪,无用感明显。认为活着就是受罪,吃饭就是种浪费,称自己“没用了”“治疗有什么用、治不了了”,一直想自行“了结”。近记忆下降。意志减退,不想动。自知力缺乏。
辅助检查:尿酸461μmol/L↑(正常参考值 90~420μmol/L),总胆固醇6.94mmol/L↑(正常参考值2.33~5.60mmol/L),低密度脂蛋白5.01mmol/L↑(正常参考值<3.12mmol/L),余(-);三大常规、甲状腺功能、术前免疫、甲胎蛋白均正常,癌胚抗原80.572mIU/ml↑(正常值0~76.4mIU/ml)。胸部正侧位片、心电图、心脏彩超未见异常。腹部彩超示“轻度脂肪肝;胆囊、脾脏、胰腺、双肾及双侧输尿管未见异常”。
心理测验:抑郁自评量表:86,有重度抑郁症状。焦虑自评量表:62,有中度焦虑症状。阳性症状量表:35,突出的阳性症状群为妄想。韦氏成人记忆商数89。韦氏成人智力言语智商105、操作智商98,总智商为102(智力等级分布平常智力90~109;边缘智力70~90;轻度智力缺陷50~69;中度智力缺陷35~49;重度智力缺陷20~34;极重度<20)。
入院诊断:伴有精神病性症状的抑郁发作?器质性精神障碍?脂肪肝;高脂血症。
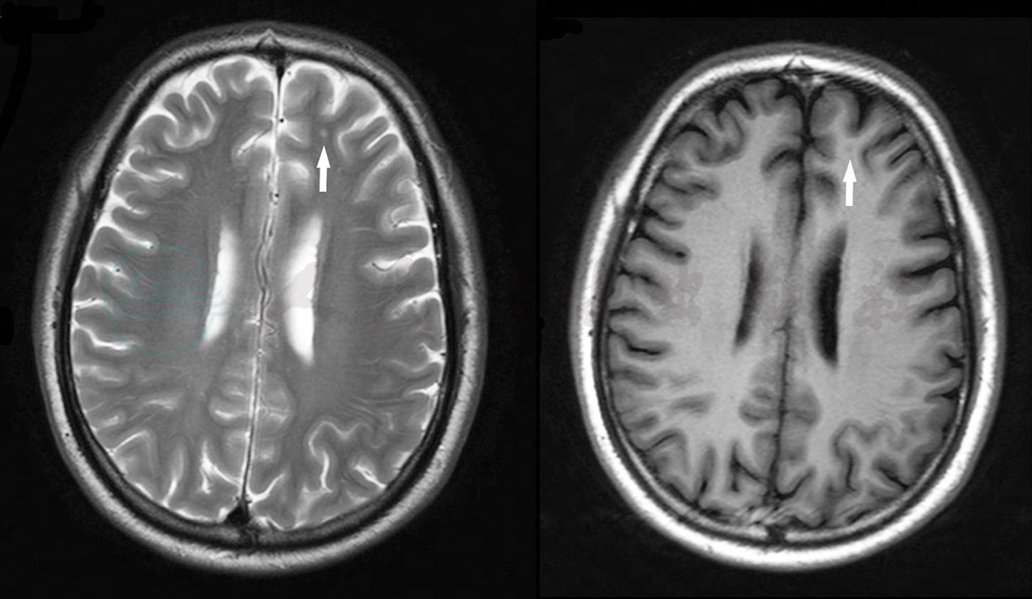
诊疗过程:入院第3日,查脑电图示“两半球基本波率为9~10Hz中-高幅α节律,以顶枕区为主,双侧基本对称,调节波幅较差,各导联可见较多中-高幅θ波及θ活动,混杂少量δ波活动,部分慢波呈阵发性出现,期间混杂较多低幅快波。视反应:α节律抑制完全。过度换气:波率变慢,慢波增多,可见少量散在性尖波发放,波及各导联。过度换气后恢复较差,印象:①脑电图:轻度异常;②脑电地形图:轻度异常”。头颅MRI示“头颅MRI平扫示左侧额叶皮层下小斑片状稍长T2异常信号灶,影像提示缺血灶”(图1)。

图1 左额叶皮层下缺血灶
请神经内科会诊,考虑患者的精神症状与额叶皮层下缺血灶有关,诊断为“脑器质性精神障碍;腔隙性梗死。”遵会诊意见予阿司匹林抗血小板聚集、阿托伐他汀钙抗动脉硬化、尼莫地平扩张血管、血栓通改善脑循环、奥拉西坦营养脑神经等对症治疗。对精神症状,继续奥氮平片、奥沙西泮片、舍曲林片口服,辅以心理干预及重复经颅磁刺激治疗。患者住院35天,幻觉、妄想症状消失,情绪明显改善,自知力大部分恢复,以临床近愈出院。
随访:患者出院后继续服用奥氮平、舍曲林,维持服药6个月,有时情绪低落,但可自行调整。未发现幻觉、妄想等症状。
脑器质性精神障碍是指由于明确的生物性病因或某种生物相关因素的影响,脑部发生明显的形态改变所致的精神障碍。其中,脑血管病所致精神障碍是在脑血管壁病变基础上,加上血液成分或血流动力学改变,造成脑出血或缺血,导致精神障碍。该精神障碍一般进展较缓慢,病情波动,常因卒中引起病情急性加剧,代偿良好时可缓解,因此临床表现多样,但最终常发展成痴呆。临床上可表现为急性脑综合征、遗忘综合征、慢性脑综合征、器质性精神病综合征、器质性情感障碍综合征、器质性神经症综合征。额叶、颞叶或边缘系统的损害则可表现为各种精神症状,如人格改变、情绪障碍、幻觉或妄想等。
人脑额叶约占大脑皮质面积的三分之一,主要由运动皮质、前运动皮质、前额叶皮质和额叶底内侧部构成,负责对传入的信息进行加工、整合,并选择适当的情感和运动反应。因其与其他大脑皮质及皮质下有广泛联系,故与认知、情感等各种心理活动关系密切。前额叶是参与情绪调节的边缘系统的重要组成部分。近年来,有关卒中后抑郁的基础研究证实,卒中后抑郁的发生发展可能与额叶的结构和功能异常有关。
对单侧前额叶皮质损伤患者的研究发现,左右侧前额叶皮质在情绪加工上作用不同。临床上,左侧前额叶皮质的急性卒中易引起抑郁,而右侧损伤者更易表现为躁狂发作。本例患者左额叶皮层缺血,存在抑郁情绪并伴发幻觉、妄想症状。有研究显示,重性抑郁患者的脑血流量减少,代谢率下降,这种表现尤以左额区明显。也有研究发现,抑郁症患者双侧前额叶活动减低,且两侧前额叶改变呈现不对称性,左侧前额叶减低较右侧更为显著。Kazutake等(2003)研究发现,正常人左额叶活动与正性信息加工有关,而右额叶活动与负性信息加工有关,因此,左侧额叶损伤后可能会影响正性信息加工,从而更易出现抑郁、消极等负性情绪。还有研究指出,额叶、前扣带回、杏仁核、海马旁回、海马等脑区所形成的神经环路在情绪整合过程中具有极为重要的作用,这些脑区与其他脑区存在着密切的功能连接,而这些连接的异常可能参与了抑郁症患者的情感异常和认知损害。在老年抑郁的研究方面,有文献报道,首发未用药老年抑郁症患者的皮层损害主要集中在额叶等区域,尤其是前额叶,提示首发未用药老年抑郁症患者的脑损害部位相对集中,表现为额叶与皮层下回路相关脑区的结构异常。
器质性精神病综合征、器质性情感障碍综合征、器质性神经症综合征的临床表现与相应功能性精神障碍的临床表现并无显著区别。在脑血管病所致的精神障碍中,精神障碍的发生、发展与脑血管病密切相关,头颅CT、MRI等影像学检查对诊断有重要意义。脑电图可有轻微异常,无特异性。
对脑血管病所致精神障碍的治疗,在治疗原发病的同时,如出现精神病性症状,小剂量应用抗精神病药物治疗有时是必须的;如出现抑郁症状,选择性5-羟色胺再摄取抑制剂(SSRIs)在脑卒中后抑郁的治疗中使用较多,疗效好,毒副作用少。
情感障碍与额叶损害有关,其中抑郁发作可能与左额叶关系密切。本例患者有左侧额叶皮层下缺血灶,患者也存在典型的抑郁发作表现,可以认为,左侧额叶皮层下缺血与抑郁发作有关。
本例患者以抑郁为首发症状,这些症状或许在脑梗死初期就已存在,只是脑梗死程度较轻,尚未造成运动神经通路受损,没有出现典型的神经系统症状和体征,临床上主要表现为抑郁发作,因此易被误诊为抑郁症。
对老年患者,以首发情绪低落、急起情绪焦虑为主要临床表现时,不能仅仅依据临床症状诊断为抑郁症,需进一步完善头颅CT或MRI检查,明确有无脑器质性病变,以免漏诊、误诊。
专家点评
情感障碍与额叶损害有关,其中抑郁发作可能与左额叶关系密切。对老年患者,以首发情绪低落、急起焦虑为主要临床表现时,需进一步完善头颅CT或MRI检查。



