发呆,失神发作,癫痫,精神发育迟滞
女性患儿,11岁半,小学3年级学生。因“阵发性发呆9年余,加重伴学习能力差3年”于2016年3月19日入心理科病房。患者外婆提供病史,可靠不详。
患儿于2007年开始出现阵发性发呆,有时数天1次,有时一天数次,每次1~2分钟,无昏迷、抽搐、双眼上翻、口吐白沫、二便失禁、摔倒等,发作时伴言语表达欠佳、吐词不清、少语。随着年龄增长,家人发现患儿较同龄儿童动作多,坐不住,注意力不集中,一直未予重视,也未就医。2013年入小学时,患儿发呆次数增多,老师发现患儿爱发呆,严重时每1小时左右就出现一次,不发呆时动作多、注意力不集中,接受能力、学习成绩较差,老师疑其有智力问题,建议就医。2015年2月,家属带患儿到某医院心理科住院,期间观察患儿动作多、阵发性发呆,发呆持续1~2分钟,发呆时问话不理。事后患儿否认发呆,诉自己不知道有发呆的情况发生。头颅MRI提示“右侧额叶皮层下稍长T2信号,左侧内部蛛网膜囊肿”。脑电图提示“界限性脑电图”。韦氏智力测试:言语智商43、操作智商45、总量表分37;测试过程中行为观察发现,患儿动作多,注意力不集中,检查欠配合。住院期间神经内科会诊,认为癫痫诊断依据不足,最后诊断“精神发育迟滞;右颞极蛛网膜囊肿;脑发育不良”。考虑患儿有多动表现,给予小剂量“氟哌啶醇、氯硝西泮”控制症状,半月后症状好转出院。出院后患儿口服氟哌啶醇3mg/日、氯硝西泮1mg/日,在家庭教师的辅导下,3个月完成了小学一至三年级的功课,期间与老师沟通良好,家庭教师不认为患儿存在智能问题。2015年下半年,患儿转学至某特殊学校三年级就读并停药,再次出现阵发性发呆,且频繁出现,以至于考试不能完成作答,严重影响成绩。有时伴乏力、双手抖动、打嗝、嗳气,并常诉头痛、上腹部疼痛、胸口难受等,每次持续1~2分钟,发作后感乏力、双手肌肉酸痛。家属为进一步诊治而于2016年3月19日再次到该院心理科住院。起病以后患者无昏迷、抽搐史,平时睡眠好,饮食、二便正常。
既往史:母孕期情况不详。早产,出生时有新生儿窒息史,产后几天脐带仍出血,有输血史。出生1个月后开始反复出现发作性憋气,伴口唇紫绀,每次持续约1分钟,自行缓解,每天发作数次,晚上多见。当时曾就医,但未明确诊断,治疗不详。半岁以后仍每天发作数次,但无紫绀出现。否认其他重大躯体疾患史。
个人史:单亲家庭,母亲常年外出打工,对之关心少,由外婆抚养。言语发育较同龄儿晚,话少,有时吐词不清。性格较内向,玩伴少,但乖巧懂事,平时小动作多。否认过敏史,无放射物、毒物、毒品接触史。
家族史:父系情况不详,母系无类似病史。
体格检查:体温36.2℃,脉搏88次/分,呼吸20次/分,血压110/70mmHg,身高157cm,体重51kg。心、肺、腹查体无特殊。四肢肌力、肌张力正常,生理反射存在,病理反射未引出。
精神状况检查:神清,定向准确,接触交谈合作,语音适中,语量较少,吐字稍含糊,有些字发音不准,对答切题。思维条理清晰,未引出幻觉、妄想。远近记忆力尚可,计算力一般,常识、理解力及判断力与同龄人相符。情绪焦虑,担心学习,情感反应协调。无冲动、伤人、毁物及怪异行为,生活自理,可被动接受住院安排。
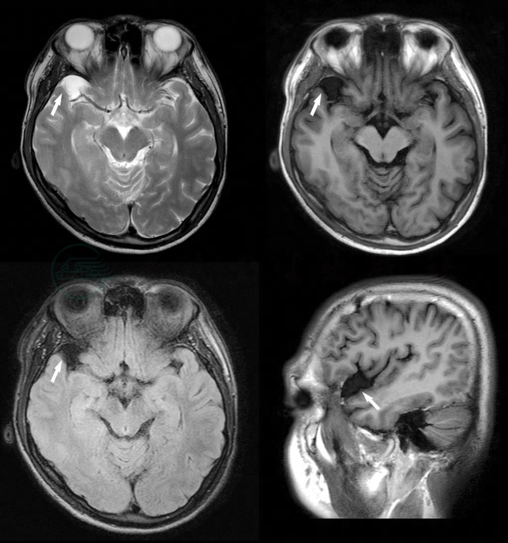
辅助检查:①三大常规、生化、甲状腺功能、催乳素、胸片、腹部彩超、心电图等检查未见明显异常。②脑电图“界限性脑电图:两半球基本波率为8~10Hz低-中幅α活动,以顶-枕区为主,双侧基本对称,调节、调幅较差,可见较多5~7Hz低-中幅波及活动,少量散在性低-中幅波,期间混杂较多低幅快波”。③头颅MRI检查提示:头颅形态大小如常,右颞部可见一囊状病变,大小约1.7cm×1.9cm×1.3cm,轻度占位效应,余脑实质内未见异常信号,侧脑室不对称稍扩大,余脑室、脑池、脑裂及脑沟对称,大小、形态正常,中线结构居中。脑干形态、信号未见异常。结果:颞部囊状病变,符合蛛网膜囊肿;脑室不对称扩大(图1)。

图1 右颞部蛛网膜囊肿
入院诊断:精神发育迟滞?继发性癫痫?左颞部蛛网膜囊肿。暂未予任何药物治疗,以临床观察及心理护理为主。
诊疗过程:入院第2天早上查房过程中,患儿突然出现打嗝、嗳气,诉上腹疼痛、胸闷,之后头部逐渐下垂,左侧上肢肌肉抽搐,意识变得模糊,问话应答迟钝,逐渐问话不理,一分钟后自行缓解。询问患儿,诉只记得打嗝、疼痛,此后的情况无法回忆。
此后观察发现,患儿表现乖巧,自觉学习,字迹工整有序,作文条理清晰,作业答案正确,有时晨读英语,发音可。经常能观察到患儿与医务人员沟通过程中突然不语、发呆,呼之不反应,持续约20秒。有一次患儿行走时突然呆立不动,全身肌紧张,约几秒钟。患儿曾在接开水过程中突然发愣,水杯落地,差点被烫伤,事后询问患儿,均表示不能回忆。根据临床表现,考虑癫痫的可能性较大,予复查脑电图提示:“两半球基本波率为10~11Hz中-高幅α活动,以顶-枕区为主,双侧基本对称,调节、调幅较差,可见较多中-高幅波及活动,部分慢波呈阵发性趋势,期间混杂较多低幅快波”。
根据临床表现,结合脑电图及头颅MRI等检查,经神经内科、儿科会诊后,最后诊断“①继发性癫痫;②左颞部蛛网膜囊肿”。建议予丙戊酸钠缓释片抗癫痫治疗,用法0.2g 1次/早、0.4g 1次/午、0.4g 1次/晚。
鉴于患儿无明显的精神病性症状,主要临床表现为癫痫的反复发作,建议患儿转到儿科或神经内科进行专科治疗。
随访:患儿在某儿童医院神经内科住院,诊断不考虑“癫痫”,5天后出院。后来再次转至某医科大学附院医院神经内科,行24小时脑电图提示有“癫痫波”,予抗癫痫等治疗后,患儿发作明显减少,未见头痛、腹痛等主诉。目前在某特殊学校上学,成绩上等。
癫痫(epilepsy)是慢性反复发作性短暂脑功能失调综合征,以脑神经元异常放电引起反复痫性发作为特征,是发作性意识丧失的常见病因。据世界卫生组织(World Health Organization,WHO)估计,全球大约有五千万癫痫患者。癫痫不是单一的疾病实体,而是一种有着不同病因基础、临床表现各异,但以反复癫痫发作为共同特征的慢性脑部疾病状态。儿童是癫痫的高发时期,18岁以下儿童占全部癫痫患者的60%以上,其中10岁以下儿童发病率最高。由于小儿处于成长发育阶段,其癫痫在病因、临床表现、诊断、治疗、预后等方面与成人有所不同。
小儿癫痫的病因复杂,不同年龄阶段引起癫痫的主要病因有所不同。特发性癫痫病因不明,目前临床上倾向于由基因突变和某些先天因素所致,有明显遗传倾向。研究显示与离子通道、突触发生与修剪、神经元迁移和分化、神经递质合成与释放、膜受体及转运体的结构与功能相关基因的突变,均可导致癫痫的发生。继发性癫痫病因包括:①围产期损伤(常见):产伤、新生儿窒息、颅内出血、缺血缺氧性脑病等;②先天性脑发育异常:胚胎发育中各种病因导致的脑穿通畸形、小头畸形、先天性脑积水、大脑皮质发育不全等;③其他如遗传代谢性疾病与变性病、各种脑瘤、中枢神经系统感染、头部外伤及头部手术后遗症、脑血管疾病等。本病例患儿为早产儿,出生时有新生儿窒息史,此可能为癫痫发病的相关影响因素。另外,头颅的MRI检查提示“左颞部蛛网膜囊肿和脱髓鞘性病变”,也可能是引起癫痫的重要原因。
小儿癫痫临床表现复杂多样。以临床表现和EEG改变作为分类依据,将癫痫发作分为:①全面性发作,常见的包括:全面强直-阵挛发作、强直发作、阵挛发作、失神发作、肌阵挛发作和失张力发作。②部分性发作,包括:简单部分性发作、复杂部分性发作和继发全面性发作。
年龄或脑的成熟程度不仅影响发作的易感性,也影响发作的类型。某些癫痫发作类型和年龄发育有密切关系,特别是新生儿和婴幼儿期的发作常具有明显的年龄特征:①新生儿的发作表现特殊,有其特有的发作形式分类,如:非惊厥性呼吸暂停、新生儿良性睡眠肌阵挛、新生儿良性震颤、低钙惊厥、低血糖惊厥等;②新生儿和小婴儿没有典型失神发作,全面强直-阵挛发作少见;③痉挛发作主要见于2岁以内的婴幼儿,如低钙惊厥、低血糖惊厥、点头痉挛、非癫痫性强直样发作、婴儿早期良性阵挛、阵发性斜颈、眼球阵挛-肌阵挛综合征、睡眠肌阵挛;④婴幼儿缺乏很好的表达能力和反应能力,部分性发作时缺乏先兆和感觉性发作的主诉,有时不易判断意识状态;⑤有些婴幼儿的部分性发作缺少局灶性症状和体征,需依靠发作期录像、EEG确定发作类型;⑥典型失神发作主要见于学龄前至青少年期;⑦光敏性反应和光敏性癫痫主要见于学龄期至青少年期。本病例患儿病情复杂,癫痫发作形式多样,随着生长发育不断变化,婴幼儿时期表现以缺氧紫绀为主的非惊厥性呼吸暂停,幼儿期主要表现为失语性癫痫、失神发作,儿童期主要表现为失神发作、腹型癫痫及精神运动性发作。患儿癫痫发作形式复杂多样可能与患儿脑部的多个病灶有关。
目前新的癫痫诊疗指南强调以下诊断步骤:①判断是否为癫痫;②癫痫发作的类型;③癫痫综合征的类型;④明确病因;⑤确定残障和共患疾病。通过规范的病史和体格检查、脑电图检查、神经影像学检查和其他必要的辅助检查,往往能够实现以上诊断目标。但癫痫为发作性疾病,表现形式多样,就诊时多表现正常,部分患者脑电图难以发现异常放电表现。
为增加临床诊断癫痫的可操作性,ILAE于2014年发布了癫痫的临床实用性定义,提出诊断癫痫的条件是:①至少两次间隔>24小时的非诱发性(或反射性发作);②1次非诱发性(或反射性发作),在未来10年再发风险与两次非诱发性发作再发风险相当(至少60%);③诊断某种癫痫综合征。近年来,癫痫患者所伴随的神经功能损伤及精神行为障碍日益受到关注。判断是否存在共患病已经成为癫痫的规范化诊断的基本步骤之一。
癫痫的主要治疗方案包括药物治疗、外科治疗及神经调控治疗等。抗癫痫药物治疗是目前癫痫治疗中最主要的治疗方案,常作为首选方案。抗癫痫药物的选择因尽可能依据癫痫综合征类型或是癫痫发作类型选择药物。癫痫的最终目标不仅仅是控制发作,更重要的是提高患者的生活质量。癫痫的治疗具有疗程长和影响因素复杂等特点,儿童患者要关注治疗全过程及各年龄段生长发育状况,实施规范化与个体化治疗及管理。相当比例的患儿家属因担心药物或其他治疗所引起的不良反应而依从性差,而导致癫痫治疗失败。癫痫患儿常共患注意缺陷多动障碍、情绪障碍、睡眠障碍等多种身心障碍,早期诊断并在治疗癫痫的同时对共患病采取合理的早期干预措施,最大限度地减轻对患儿远期身心健康的不良影响。因此长期规范化的治疗和随访管理对于改善预后至关重要。
本案例症状不典型,诊疗过程曲折,曾诊断为“精神发育迟滞”。但这个爱发呆、多动、成绩差的孩子经“氟哌啶醇片、氯硝西泮片”治疗后,3个月家教辅导下完成小学一至三年级的学习,停药后症状复发,24小时脑电图检查发现“癫痫波”,11年后最终确诊“癫痫”。回顾本案例,教训颇多。
第一,儿童的发呆常不引起家长重视。尤其早期发呆频次少,缺乏伴随症状,对学习、生活影响不大时,家长通常未在意。本例患儿的家长更关注孩子的多动、学习成绩差,加之患儿言语发育较同龄人晚、表达困难,病史采集困难,以至于第一次住院时神经内科会诊,考虑癫痫诊断依据不足,是诊断延误的原因之一。
第二,本例患儿癫痫形式复杂多样,临床少见,确诊困难,早期确诊更为困难。归纳该例儿童癫痫主要表现有:①慢性进展性、反复发作性病程特点。②有早产、新生儿窒息史。③不同时期发作形式有所不同。新生儿、婴儿期主要表现反复发作性呼吸困难;幼儿期逐渐开始出现发呆,上小学后频次增加;第一次住院发现患儿发呆时问话不理、不能回忆,无明显伴随症状;第二次住院前半年开始伴头痛、腹痛、上肢肌肉抽搐,发作前有预兆,发作后感乏力、肌肉酸痛。④肌内注射地西泮注射液后腹痛消失,不排除腹痛型癫痫可能。
第三,患儿学习成绩不稳定,大部分时间比较差,但患儿曾有3个月学习沟通良好、学习成绩基本能达到同龄人水平这一事实,这不符合精神发育迟滞的疾病发展过程,很有可能是患儿癫痫发作间歇期或治疗缓解期智力正常的表现。另外,患儿停抗癫痫药后出现频繁的癫痫发作影响了学习,以致老师、家长、临床医师误认为患儿存在智能问题。
专家点评
对心理行为异常的儿童青少年患者,当表现出“凝视”“自笑”“自语”“发呆”“发愣”“不自主运动”“肢体乏力”等表现,并且有反复发作倾向时,需警惕癫痫发作的可能。



