(一)一般资料
男性,40岁,湖南人,于2014年12月15日入住我院呼吸内科。
(二)主诉
咳嗽5年,呼吸困难2月,咳痰10天。
(三)现病史
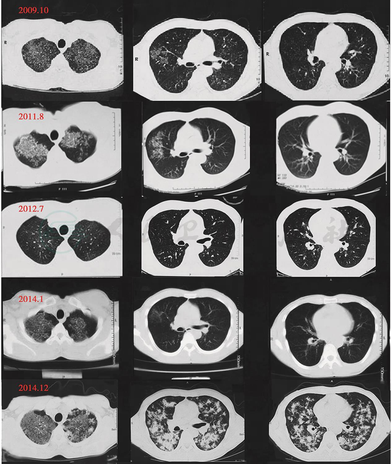
患者于2009年受凉后出现阵发性咳嗽,为干咳,晨起、进食时加重,约持续1min,每天4~5次,无呼吸困难、胸痛、咳痰、咯血、乏力等症状。于当地医院诊断为肺结核予以抗结核四联+护肝规律治疗7个月,因症状无缓解入住当地医院15天予以抗结核治疗(具体用药不详),症状未有明显缓解,于2011年11月始以中药抗结核治疗4个月,并于2012年7月复查CT(图1)示胸部病变较前好转,原双上肺斑片状、片状密度增高影基本吸收,双上肺可见散在小结节状密度增高影。患者自觉症状无明显缓解或加重,咳嗽症状反复,为求进一步诊治于2014年1月来我院,胸部CT(图1)结果及临床考虑诊断为肺泡蛋白沉着症,因患者自身因素未进一步治疗。2014年10月始患者无明显诱因出现活动后气促,吸气期及呼气期均感呼吸费力、呼吸频率增快、深度变浅,伴胸痛、乏力、盗汗。2014年12月初出现咳痰,为白色黏痰,多发生在夜间。咳嗽持续时间及频率均增加。为求进一步诊治来我院复查胸部CT(图1)示双上肺病变密度增高较前增大,双肺多发结节状密度增高影较前增多,纵隔多发淋巴结增大。于2014年12月15日入住我科,患者自起病以来,精神食欲可,睡眠可,小便较少,大便正常,2个月体重下降约5kg。

图1 入院前CT
(包括2009年10月、2011年8月、2012年7月、2014年1月、2014年12月)
(四)既往史
否认“高血压病”“冠心病”“糖尿病”病史,2009年诊断为肺结核,否认“乙肝”“伤寒”等传染病及接触史,否认外伤、手术及输血史,否认药物及食物过敏史,预防接种史不详。
(五)个人史
常年居住在山区,为护林工人。居住房屋潮湿、长霉。少量吸烟,不饮酒。无冶游史。
(一)体格检查
1.体温37.5℃,心率80次/min,呼吸21次/min,血压120/70 mmHg。
2.左锁骨上可扪及数个淋巴结,其中最大0.6cm×0.6cm,质软,活动度可。
3.双侧语音震颤对称增强,呼吸运动度对称,无胸膜摩擦感,双肺叩诊浊音,双肺呼吸音低,右下肺可闻及吸气相细湿啰音。
(二)实验室检查
1.血常规 WBC 9.9×109/L。
2.肝、肾功能、心肌酶ALB 30.7g/L。
3.G试验196.02pg/ml,GM试验45.10ng/ml。
4.免疫全套IgG 31.8 g/L。
5.风湿全套 RF 109 IU/mL。
6.ESR 61mm/h。
7.狼疮全套、ANA谱、痰找抗酸杆菌、输血前四项、肝炎全套、HIV、T-SPOT均为阴性。
(一)病例特点回顾
1.40岁,男性,病程6年。
2.咳嗽、咳痰、呼吸困难。
3.多处淋巴结肿大。
4.G/GM试验阳性。
(二)诊断分析
患者为中年男性,咳嗽、呼吸困难、咳痰,多处淋巴结肿大,病程6年。既往有肺结核病史,入院后完善实验室检查示ESR升高、G/GM试验阳性,结合患者病史及临床特点,考虑肺结核可能,真菌感染可能,应完善颈部淋巴结活检、支气管镜下肺活检、CT引导下经皮肺穿刺活检进行病理诊断,因G/GM试验阳性,故完善肺组织的真菌培养以明确诊断。
(一)进一步检查及诊治过程
完善颈部淋巴结活检、支气管镜下肺活检、CT引导下经皮肺穿刺活检,三项病理均提示肉芽肿性炎,考虑结核。予以抗结核四联+护肝5天,患者咳嗽加重,2014年12月26日复查CT提示双肺病变在抗结核期间进展,结核的可能性小。结合穿刺肺组织培养病原学,考虑肺真菌病(马尔尼菲青霉菌感染)可能性大。要求病理科复核病理结果:PAS(+)消化PAS(+)抗酸(-);(右下肺穿刺组织)肉芽肿性炎,未见干酪样坏死,结合淋巴结活检和支气管镜活检切片及临床培养结果,考虑马尔尼菲青霉菌感染。后追问患者病史得知其曾长期捕捉、屠宰、食用竹鼠。停止抗结核治疗,2014年12月27日开始行抗真菌治疗(两性霉素B脂质体40mg,静滴,每日1次,1个月,序贯伊曲康唑口服液200mg,口服,每日2次,8个月)。
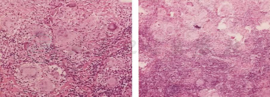
1.左锁骨上淋巴结活检病理 肉芽肿形成,倾向结核(图2)。

图2 左锁骨上淋巴结活检病理
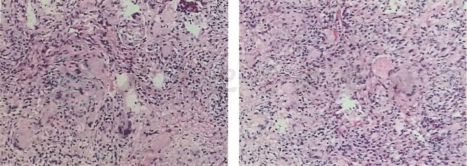
2.支气管镜+右下肺支气管镜下肺活检 镜检诊断为支气管炎,右下叶背支病检为肉芽肿性炎,考虑结核(图3)。

图3 支气管镜下肺活检病理
3.CT引导下经皮肺穿刺活检(图4) 右下肺肉芽肿性炎,未见干酪样坏死,结核不能排除。特殊染色结果:PAS(-),消化 PAS(-),抗酸染色(-)。
4.2014年12月20日~25日予以标准四联抗结核+护肝治疗(异烟肼片0.3g,每日1次,利福平胶囊0.45g,每日1次+乙胺丁醇片0.75g,每日1次+吡嗪酰胺片0.5g,每日3次+葡醛内酯片0.2g,每日3次)。
5.2014年12月25日肺组织真菌培养结果回报 马尔尼菲青霉菌。
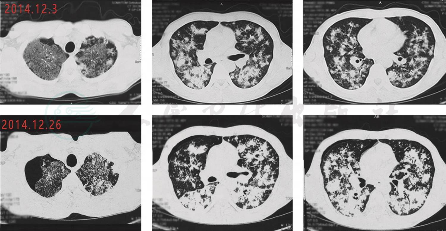
6.2014年12月26日复查胸部CT(图5)对比2012年12月3日老片,抗结核过程中双肺病变较前进展,双上肺及右下肺病变新增空洞样病变。

图4 经皮肺穿刺活检病理

图5 胸部CT
(2014年12月26日与2012年12月3日对比)
(二)随访
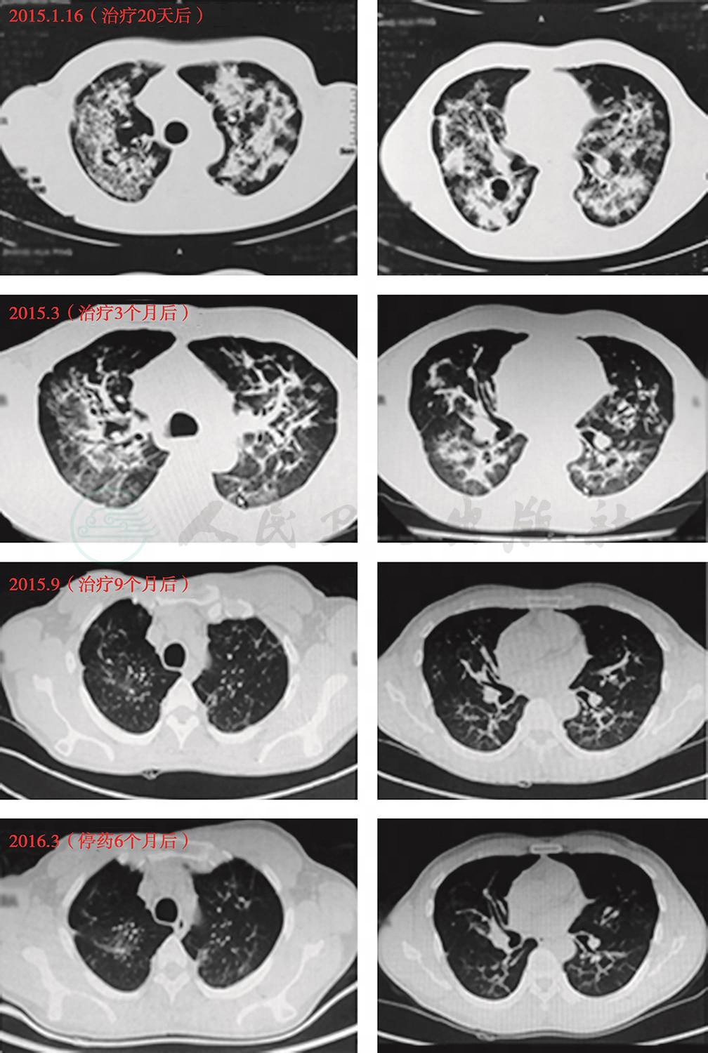
患者抗真菌治疗后,咳嗽、呼吸困难等症状明显缓解,肺部影像学病变明显好转(图6)。随访4年,患者除仍有轻微咳嗽外,无其他呼吸道相关症状。


图6 出院后随访CT
(CT时间包括2015年1月、2015年3月、2015年9月、2016年3月、2017年3月、2019年3月)
(一)最后诊断
马尔尼菲青霉菌肺炎
(二)诊断依据
中年男性,咳嗽、咳痰、呼吸困难,多处淋巴结肿大,慢性起病,曾长期捕捉、屠宰、食用竹鼠。实验室检查示G/GM试验阳性,三项病理均提示肉芽肿性炎,PAS(+)消化PAS(+)抗酸(-)。住院期间复查CT提示双肺病变在抗结核治疗期间进展,结核的可能性小。穿刺肺组织真菌培养为马尔尼菲青霉菌,考虑肺真菌病(马尔尼菲青霉菌感染)可能性大。予以抗真菌治疗后,患者症状明显好转、影像学提示病变明显好转。综上,患者诊断为马尔尼菲青霉菌肺炎。
1.免疫状态正常患者亦可感染马尔尼菲青霉菌,引起双肺弥漫性病变[1]。
2.在患者身体情况允许的前提下,应积极开展有创检查,寻找诊断的金标准,即病理学和病原学的依据,多管齐下更准确。
3.勇于向实验室结果挑战,实验室与影像学结果要符合临床实际。
4.动态观察病情变化,长程治疗及随访,临床预后是检验诊疗正确性的金标准。
5.马尔尼菲青霉菌病最常见于HIV患者,也见于患有结缔组织病、糖尿病、恶性肿瘤、器官移植等基础疾病导致免疫功能不全的患者。本例患者HIV阴性、没有明显免疫低下的基础疾病,无免疫抑制药物使用史,但没有对其进行全面的免疫相关检测,因此不能确定患者的免疫状况。患者与马尔尼菲青霉菌的储存宿主竹鼠有接触史是确诊的重要线索。因此对于有马尔尼菲青霉菌流行区域生活或旅游、环境暴露、气候湿度等易感因素[2-6],对以上患者应警惕是否为马尔尼菲青霉菌感染,尽早确诊并治疗。
6.对于双肺弥漫性病变的诊断,其关键在于寻找金标准:病原学和病理学诊断。常见的诊疗技术中,无创检查包括支气管分泌物(含BALF)送组织培养、抗酸染色、电镜下病原微生物检测(常规方法不能检测到的支、衣原体、病毒意义更大);有创检查包括肺组织活检(病理学+微生物培养)、肺外组织活检(淋巴结、皮肤等);动态观察病情,包括短期变化、诊断性治疗、长期随访、疗效观察等。
(李园园)
[1]谢雅利,李园园,胡成平,等. HIV抗体阴性的马尔尼菲青霉菌病患者的易感因素及免疫状态分析. 中国真菌学杂志,2016,11(3):174-177.
[2]张建全,钟小宁,柳广南,等.健康宿主合并马尔尼菲青霉病的临床特征及误诊原因分析.中华内科杂志,2010,49(8): 700-701.
[3]KAWILA R,CHAIWARITH R,SUPPARATPINYO K. Clinical and laboratory characteristics of penicilliosis marneffei among patients with and without HIV infection in Northern Thailand: a retrospective study. BMC Infect Dis,2013,13(1):464.
[4]WONG SS,WONG KH,HUI WT,et al. Differencesinclinical and laboratory diagnostic characteristics of penicilliosis marneffei in human immunodeficiency virus(HIV)-and non-HIV-infected patients. J Clin Microbiol,2001,39(12): 4535-4540.
[5]苏小芬,张挪富,刘春丽,等.免疫健全者播散性马尔尼菲青霉菌病一例及文献复习.中国呼吸与危重监护杂志,2013,12(3):244-248.
[6]邱晔,张建全,钟小宁,等.难治性马尔尼菲青霉菌病二例.中华结核和呼吸杂志,2014,37(5):387-389.



