患者男性,54岁,主因“右侧偏瘫5周伴胸闷20余天”入院。患者2016年12月12日突发头晕、视物重影,活动后加重,3天后出现四肢麻木不适。外院查头颅MRI发现“脑干梗死”;头颅CTA检查示“左侧颈总动脉中段、双侧颈总动脉及颈内动脉交界处多发软斑块形成,管腔轻中度变窄,无名动脉瘤样扩张,管壁多发斑块及斑块内溃疡形成”。经外院治疗后症状改善出院,继续口服“阿司匹林、氯吡咯雷、瑞舒伐他汀”等。2017年2月1日患者出现右侧肢体肌力下降,继而部分性失语、吞咽障碍,意识清楚。头颅MRI显示“右侧小脑半球、脑桥、右侧枕叶、颞叶皮层及额叶白质区多发急性梗死灶”。治疗过程中,患者出现反复发热,最高39℃,反复左侧胸闷十余天,指脉氧饱和度95%以上,无胸痛、气促,可自行缓解。胸部CT显示“两肺炎症伴双侧胸腔积液”;肺动脉CTA显示“双侧肺动脉主干末端充盈缺损,肺栓塞可能大”;四肢血管B超未见明显的DVT或动脉血栓;易栓症全套阴性,ESR、CRP显著升高。外院诊断“肺栓塞”并给予抗凝治疗半个月,无明显改善。为进一步诊治入住我院。
入院查体
T 37.1℃,P 98 次/min,R 18次/min,BP 130/80mmHg。平车推入病房,精神欠佳,营养较差,部分性失语,偶有简单发音,回答切题,被动体位,查体合作。全身浅表淋巴结未触及肿大,口唇无发绀。留置鼻胃管。颈软,无抵抗,颈静脉无怒张,双肺呼吸音粗糙,可闻及湿性啰音。心率98次/min,律齐,各瓣膜听诊区未闻及病理性杂音。腹软无压痛,肝脾肋下未触及,肝、肾区无叩击痛,移动性浊音阴性。双下肢无水肿。右侧肢体肌力0级,左侧肢体肌力4+级。右侧肱动脉搏动减弱。
既往史及个人史
吸烟史8年,平均40支/d;饮酒史20年,平均200g/d,常饮白酒,患病以来已被动戒烟、戒酒。有高血压病史9年,血压最高达140/90mmHg,平日服用非洛地平缓释片降压,血压控制良好。否认糖尿病史,否认手术史、外伤史、输血史,否认食物、药物过敏史。
辅助检查
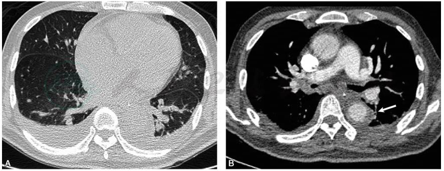
肺动脉CTA(2017-02-22,外院报告):双侧肺动脉主干末端显示不清,考虑肺栓塞可能大,请结合临床随访。附见胸腔积液,左下肺膨胀不全(图1)。

图1 肺动脉CTA
A.肺窗示双侧肺野清晰,心胸比例增大,双侧胸腔积液并左下肺膨胀不全;B.纵隔窗示胸主动脉管壁显著增厚,管腔不规则(白箭)
引自:呼吸与危重症医学疑难与危重病例精选.第1版.ISBN:978-7-117-30147-3.主编:
初步诊断
1.多发性脑梗死
2.双侧肺炎伴胸腔积液
3.急性肺栓塞
问题1:患者反复胸闷、低热的原因?
患者卧床时间较长,病程中曾有发热伴多痰,痰培养发现鲍曼不动杆菌,经抗感染治疗后,症状有所改善。2017年2月22日肺动脉CTA肺窗示:双侧肺野清晰,心胸比例增大,双侧胸腔积液并左下肺膨胀不全;纵隔窗示胸主动脉管壁显著增厚,管腔不规则;近端肺血管未见明显充盈缺损,段以下肺血管显影欠佳。外院给予治疗剂量的低分子肝素抗凝,患者胸闷症状无明显改善。综上所述,患者肺栓塞可能性不大,有可能是系统性血管炎导致胸闷、低热与胸腔积液的表现。
肺部血管炎包括原发性与继发性两大类。继发性血管炎包括感染性疾病、结缔组织病、恶性肿瘤和过敏性疾病所致肺血管炎。原发性血管炎的分类通常根据受累血管的大小分为大血管炎、中血管炎和小血管炎。肺部血管受累常见于原发性大血管炎(大动脉炎和巨细胞动脉炎)和原发性抗中性粒细胞胞浆抗体(ANCA)相关性小血管炎(肉芽肿性多血管炎、显微镜下多血管炎和嗜酸性肉芽肿性多血管炎)。此患者胸主动脉受累,应考虑大血管炎可能。
大血管炎主要累及主动脉及其大的分支,如上肢动脉和头颈动脉。当有局部缺血症状与体征时应考虑大血管炎的可能。大血管炎的两大类型巨细胞动脉炎(GCA)与大动脉炎尽管组织病理学类似,但是两者的发病年龄、累及血管的范围和临床表现存在差异。大动脉炎主要累及主动脉及其主要分支,通常不影响颅动脉,可用于大动脉炎与GCA的临床鉴别。患者无颞部疼痛等症状,查体右侧肱动脉搏动减弱,右上肢血压较左侧下降约10mmHg,因此临床考虑大动脉炎可能。大血管炎的正确诊断还须除外其他累及主动脉及其分支的疾病如动脉粥样硬化等。
问题2:如何明确大动脉炎诊断?
大动脉炎的临床表现分为典型的两个阶段。早期为血管炎性期,通常表现为非特异性的全身症状,如低热、乏力、消瘦和易疲劳;晚期为血管闭塞期,最常见的症状为血管闭塞所致的脉搏减弱或消失以及双侧血压测量结果不一致,下肢通常表现为跛行。由于大动脉炎的临床表现和实验室检查都不具有特异性,因此正确诊断通常依赖影像学检查。CT与MR检查可发现早期动脉管壁的增厚、管腔狭窄、动脉瘤样扩张和晚期纤维化阶段的动脉闭塞。50%~80%的大动脉炎累及肺动脉。最典型的影像学特征是肺动脉的狭窄和闭塞,主要累及段和亚段肺动脉,少部分累及叶或主肺动脉。为明确诊断补充以下检查:
实验室检查:ESR:29mm/h,CRP:132mg/L。
头颅CTA:左侧颈总动脉中段、双侧颈总动脉及颈内动脉交界处多发软斑块形成,管腔轻中度变窄。
结合肺动脉CTA所见,右侧肱动脉搏动减弱,上肢血压较左侧下降,考虑为累及头臂动脉型、胸-腹主动脉型、肺动脉型的混合型大动脉炎。查阅文献,曾有以单侧胸腔积液为首发表现的大动脉炎病例报道,且肺动脉受累大动脉炎易误诊为肺栓塞。
至此患者诊断基本明确。
1.大动脉炎(混合型)
2.多发性脑梗死
在原有抗感染治疗的基础上给予:
1.甲泼尼龙40mg/d,静脉滴注。
2.阿司匹林联合氯吡格雷抗血小板口服治疗。
3.瑞舒伐他汀调脂、单硝酸异山梨酯扩冠、酒石酸美托洛尔片降低心肌氧耗、曲美他嗪改善心肌代谢。
4.用药半个月后复查ESR:5mm/h,CRP:24.4mg/L,均较前显著降低。患者胸闷症状改善,体温恢复正常,改为甲泼尼龙40mg/d,口服,院外治疗。
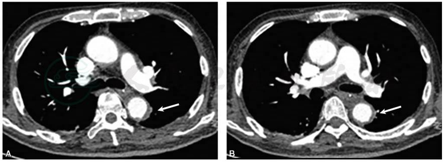
出院后1个月随访,胸闷、气短症状明显减轻,体温维持正常。2017年4月7日复查肺动脉CTA示(图2):主动脉弓及降主动脉管壁增厚,形态不规则,符合大动脉炎表现。与2017年2月22日肺动脉CTA比较,胸主动脉管壁已明显变薄。肺动脉部分分支远端充盈缺损。双侧胸腔积液已吸收。

图2 患者口服激素1个月余,复查肺动脉CTA示:胸主动脉管壁明显变薄,管腔仍然不规则(白箭)
引自:呼吸与危重症医学疑难与危重病例精选.第1版.ISBN:978-7-117-30147-3.主编:
1.患者脑梗后长期卧床,吸烟史16包年,高血压病史等是急性肺栓塞的高危因素。此类患者出现不明原因胸闷、气短需重点考虑肺栓塞可能。
2.文献报道多发性大动脉炎以发热、乏力、头晕、头痛、间歇性跛行、血管杂音等起病多见,大动脉炎累及肺血管以呼吸困难起病相对少见。本例患者以多发脑梗起病,以胸闷、发热为主诉,长期卧床,临床上极易误诊为急性肺栓塞和肺部感染。给予抗感染和抗凝治疗患者症状无明显改善,复习肺动脉CTA示胸主动脉管壁显著增厚,管腔不规则;近端肺血管未见明显充盈缺损,段以下肺血管显影欠佳,考虑大血管炎累及肺动脉。进一步完善头颅CTA:左侧颈总动脉中段、双侧颈总动脉及颈内动脉交界处多发软斑块形成,管腔轻中度变窄。结合肺动脉CTA所见,右侧肱动脉搏动减弱,上肢血压较左侧下降,考虑为累及头臂动脉型、胸-腹主动脉型、肺动脉型的混合型大动脉炎。由于大动脉炎属于临床少见病,累及肺动脉者发病率更低,因此,我们在诊断肺栓塞给予抗凝治疗效果不佳时,应考虑大动脉炎累及肺动脉的可能性。
(夏敬文 李圣青)
[1]MATSUMOTO A H,TEGTMEYER C J.Contemporary diagnostic approaches to acute pulmonary emboli[J].Radiol Clin North Am,1995,33(1):167-183.
[2]PORCEL J M,MADRONERO A B,PARDINA M,et al.Analysis of pleural effusions in acute pulmonary embolism:Radiological and pleural fluid data from 230 patients[J].Respirology,2007,12(2):234.
[3]PORCEL J M,LIGHT R W.Pleural effusions due to pulmonary embolism[J].Current Opinion Pulmon Med,2008,14(4):337.
[4]桂贤华,曹敏,刘寅,等.以单侧胸腔积液为首发表现的多发性大动脉炎一例并文献复习[J].中华结核和呼吸杂志,2016,39(10):768-772.
[5]窦静波,龚娟妮,马展鸿,等.大动脉炎累及肺动脉的临床分析[J].中华结核和呼吸杂志,2016,39(8):603-607.
[6]李彦,顾承东.以呼吸困难起病的多发性大动脉炎1例[J].中日友好医院学报,2010,24(5):318.



