患者男性,75岁,主因“咳嗽、咳痰伴活动后气促2年余,加重半年”入院。患者2年前无明显诱因出现活动后气促,冬季明显;偶有咳嗽、咳痰,清晨痰量较多,偶有低热,体温未测;无畏寒、恶心、呕吐、头痛等不适;爬楼等活动后气促加重,休息后可缓解;曾于当地多次住院治疗,具体情况不详。近半年活动后气促症状较前加重,与体位有关,侧卧明显。于当地医院就诊未见明显好转,为求进一步治疗,收入我科。患病以来精神可,胃纳、睡眠正常,大小便正常,无体重明显下降。
入院查体
T 36.6℃,P 80次/min,R 20次/min,BP 126/75mmHg。 神志清楚,步入病房,自主体位,查体合作。皮肤黏膜无黄染,无皮疹紫癜,无肝掌及蜘蛛痣。浅表淋巴结未扪及肿大。口唇红润,无发绀,咽部无充血,扁桃体无肿大。无颈动脉异常搏动,气管居中,颈静脉无怒张,甲状腺无肿大。桶状胸,肋间隙增宽。双侧呼吸运动一致,胸壁静脉无曲张。胸壁无压痛,无皮下捻发音,胸骨无压痛,胸廓扩张度对称,无胸膜摩擦感,双侧语音震颤正常。双肺叩诊呈过清音,双肺呼吸音清,可闻及少量哮鸣音,左下肺明显;双肺未闻及湿性啰音。双肺无胸摩擦音。心率80次/min,律齐,各瓣膜区无杂音,心包无摩擦音,无脉搏短促。腹部平坦,腹软,无压痛及反跳痛,肝脾肋下未触及,移动性浊音阴性,肠鸣音正常,4次/min。脊柱四肢无畸形,无杵状指趾,双下肢无水肿,四肢关节活动正常。生理反射正常,病理反射未引出。
既往史及个人史
否认手术史、外伤史。否认肝炎、结核、伤寒、血吸虫等传染病史。否认食物、药物过敏史。否认高血压、糖尿病等慢性病史。吸烟30年,每日1包。
辅助检查
血常规:白细胞:4.34×109/L,中性粒细胞:56.7%,血红蛋白:118g/L,血小板:275×109/L,嗜酸性粒细胞绝对值:0.38×109/L。
血气分析(未吸氧):pH:7.391,PCO2:47.7mmHg,PO2:88.5mmHg,HCO3-:27.3mmol/L,SO2:97.8%。
吸入/食入过敏源检查:阴性。
血凝:D-二聚体:0.36FEUmg/L。
肺功能报告:总呼吸道阻力增高,轻度限制性通气功能障碍,重度阻塞性通气功能障碍,小气道重度陷闭,肺弥散功能重度降低。支气管舒张试验:吸入支气管舒张剂15分钟后,FEV1:升高11%(100ml),支气管舒张试验阴性(表1)。
表1 肺功能参数(2017-03-28)

参数 预计值 实测值 百分比(%) |
VC(L) 2.91 2.04 70 FEV1(L) 2.27 0.92 41 FEV1/FVC(%) 44.07 |
引自:呼吸与危重症医学疑难与危重病例精选.第1版.ISBN:978-7-117-30147-3.主编:
患者入院后炎症指标阴性,患者无咳嗽、咳痰等症状加重,气促加重考虑与左下肺不张有关,CAT评分20,一年内急性发作次数入院>2次,参照GOLD 2017指南,归为稳定期,D组。
初步诊断
慢性阻塞性肺疾病(COPD)稳定期,GOLDⅢ级,D组
问题1:患者胸闷气促的原因?
患者病情特点:①老年男性,长期吸烟史,活动后气促2年,加重半年;②查体桶状胸,肋间隙增宽,双肺叩诊过清音;③肺功能提示重度阻塞性肺通气功能障碍,支气管舒张试验阴性。综合以上特点慢性阻塞性肺疾病诊断成立。但是患者胸闷气促与体位有关;查体双肺可闻及少量呼气相哮鸣音,左下肺明显。这些难以用慢性阻塞性肺疾病急性加重完全解释,需要进一步明确是否合并其他疾病。为明确诊断,我们进一步做以下检查:
血 G 试验(血浆1-3-β-D 葡聚糖):<10pg/ml。
血沉:54mm/h。
降钙素原:0.02ng/ml。
血呼吸道病原体九联抗体检测:呼吸道病原体IgM抗体包括:嗜肺军团菌、肺炎支原体、Q热立克次体、肺炎衣原体、腺病毒、呼吸道合胞病毒、甲型流感病毒、乙型流感病毒和副流感病毒:均为阴性。
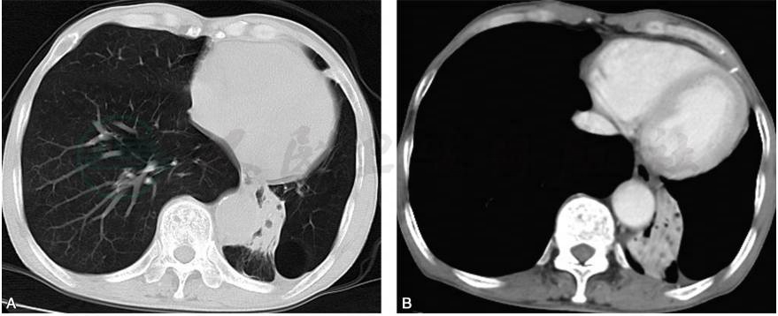
胸部CT检查(2017-03-29):双侧肺气肿,散在肺大疱;左肺下叶肺不张,纵隔左偏(图1)。

图1 胸部CT检查
A.双肺透光度增加,左肺容积明显减小,下舌段肺大疱,左肺下叶肺不张;B.纵隔左偏,左下肺不张
引自:呼吸与危重症医学疑难与危重病例精选.第1版.ISBN:978-7-117-30147-3.主编:
问题2:患者左肺下叶不张的原因?
患者胸部CT除提示慢支肺气肿改变外还有左肺下叶不张,短期内左肺下叶不张是患者近半年气短加重的主要原因。肺不张的原因可为阻塞性、外压性、发育异常、局部痰液引流不畅等因素所致,因此为明确左下叶不张的原因,进一步行电子支气管镜检查,镜下可见左主支气管距隆突2cm处新生物阻塞管口,表面光整(图2A)。新生物活检送病理并行免疫组化检测以明确病变性质。
支气管镜活检病理(图2B、C):碎组织直径0.4cm。CK(上皮+),Napsin A(-),Ck7(上皮+),Syn(-),TTF-1(-),CK5/6(上皮+),Ki67(2%+),P40(上皮+),P63(上皮+),CD56(-),CK20(-)。病灶由结缔组织基质所构成,表面被覆纤毛柱状上皮和间变的鳞状上皮细胞,考虑支气管乳突状瘤。

图2 支气管镜检查可见左主支气管距隆突2cm处新生物阻塞管口,表面光整(A);病理HE染色(B:×10,C:×40)提示病灶由结缔组织基质所构成,表面被覆纤毛柱状上皮和间变的鳞状上皮细胞,考虑支气管乳突状瘤
引自:呼吸与危重症医学疑难与危重病例精选.第1版.ISBN:978-7-117-30147-3.主编:
肿瘤标记物全部正常:AFP:3.9μg/L,CEA:1.95μg/L,CA125:20.01U/ml,CA15-3:19.52U/ml,CA19-9:9.19U/ml,CA72-4:3.88U/ml,CY21-1:1.71ng/ml,NSE:9.6ng/ml,PSA:1.38ng/ml,FPSA:0.33ng/ml,FPSA/PSA:0.24ng/ml,SCC:0.9ng/ml。 据此可基本排除恶性病变。
问题3:如何治疗?
鉴于患者高龄,长期重度吸烟史,肺功能提示重度阻塞性肺功能障碍。综合评估患者不耐受手术,给予支气管镜下介入治疗。
1.支气管镜下氩气刀结合电圈套治疗(图3) 患者左主支气管新生物通过镜下治疗后左肺上叶及下叶8、9、10段开口显露,亚段通畅,下叶背段仍有新生物,但患者后期难以耐受治疗故终止。切割组织再次送检病理。

图3 支气管镜下氩气刀结合电圈套治疗
A.治疗前;B.治疗中;C.切割后左肺上叶及下叶8、9、10段开口显露,亚段通畅
引自:呼吸与危重症医学疑难与危重病例精选.第1版.ISBN:978-7-117-30147-3.主编:
2.布地奈德福莫特罗1吸/次,2次/d,吸入。
3.氨溴索化痰、二羟丙茶碱静脉滴注。
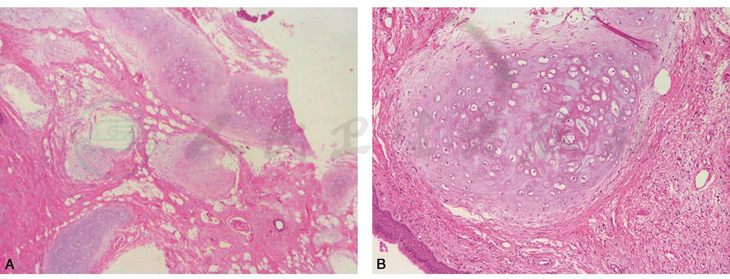
支气管镜治疗中再次组织活检病理报告:CK(上皮+),Napsin A(-),Ck7(上皮+),Syn(-),TTF-1(-),CK5/6(上皮+),Ki67(<1%+),P40(上皮+),P63(上皮+),CD56(-),VIM(间质+)考虑(左主支气管)错构瘤(图4)。

图4 支气管镜下治疗切割组织送病理:HE染色(A:×4,B:×10)可见支气管上皮和中胚层的多种成分异常混合而形成的结节状肿块。其中含有多量软骨、脂肪和纤维组织,提示支气管错构瘤
引自:呼吸与危重症医学疑难与危重病例精选.第1版.ISBN:978-7-117-30147-3.主编:
1.左主支气管腔内错构瘤,左下肺不张
2.慢性阻塞性肺疾病稳定期,GOLDⅢ级,D组
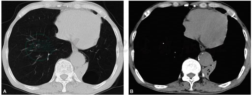
支气管镜下治疗后,患者自觉气促症状明显缓解,仍有咳嗽咳痰。查体:左肺呼吸音较前增强,未闻及干、湿性啰音。1个月后复查肺功能与胸部CT均较前改善(图5,表2),仍残留左下叶背段不张,建议再次气管镜下治疗,患者拒绝。

图5 治疗后1个月复查胸部CT(2017-05-10)
A.左肺上叶较前明显复张,左肺下叶大部肺不张;B.纵隔左偏较前减轻
引自:呼吸与危重症医学疑难与危重病例精选.第1版.ISBN:978-7-117-30147-3.主编:
表2 肺功能参数(2017-05-10)

肺功能参数 预计值 实测值 百分比(%) |
VC(L) 3.16 2.09 66 FEV1(L) 2.46 1.55 63 FEV1/FVC(%) 47.67 |
引自:呼吸与危重症医学疑难与危重病例精选.第1版.ISBN:978-7-117-30147-3.主编:
1.患者老年男性,既往有长期吸烟史,结合症状、体征和肺功能结果,慢阻肺诊断明确。此次发病以气短加重为主,很容易联想到慢阻肺急性加重,但仔细分析其症状与慢阻肺急性加重有不符之处,通过胸部CT检查发现合并左下肺不张,考虑这是导致患者气短加重的原因。
2.排查肺不张病因的思路 肺不张可为阻塞性、外压性、发育异常、局部痰液引流不畅等因素所致。气管镜检查了解支气管腔内情况是明确肺不张原因的关键。患者气管镜下可见左主支气管新生物,由于患者系老年男性,长期吸烟,有慢阻肺,属肺癌高危人群,因此首先考虑肺癌。但是第一次活检病理回报为支气管乳突状瘤,该疾病为支气管的良性肿瘤,常与慢性炎症相关,极少见,可恶变。支气管镜下治疗再次活检送病理,最终确诊错构瘤。
3.支气管乳头状瘤与支气管腔内错构瘤的鉴别诊断 两者均为支气管良性肿瘤,常常难以鉴别。支气管乳头状瘤极少见,少数可以恶变,常发生在支气管近端,突出于支气管腔,呈息肉样,有短蒂附着于支气管壁。镜检肿瘤由结缔组织基质所构成,表面被覆纤毛柱状上皮和间变的鳞状上皮细胞,慢性炎症可能为其主因。肺错构瘤是正常肺组织因胚胎发育异常,导致肺正常组织的不正常组合所构成的瘤样畸形。肺错构瘤是肺部最常见的良性肿瘤,据统计占肺部良性肿瘤的75%左右。支气管内型(腔内型)占肺错构瘤的5%~10%。支气管内型错构瘤病理剖面呈灰白色,质硬,有黏液和囊腔,主要成分有软骨、腺体、平滑肌、脂肪及纤维组织等。该患者第一次活检病理取材有限,见纤毛柱状上皮与鳞状上皮覆盖,细胞形态规整,未见典型错构瘤表现;第二次活检组织量多,镜下可见软骨、腺体、纤维组织成分明确诊断。
(路璐 龚益 李圣青)
[1]SIM J K,CHOI J H,OH J Y,et al.Two Cases of Diagnosis and Removal of Endobronchial Hamartoma by Cryotherapy via Flexible Bronchoscopy[J].Tuberc Respir Dis,2014,76(3):141-145.
[2]OGUMA T,TAKIGUCHI H,NIIMI K,et al.Endobronchial hamartoma as a cause of pneumonia[J].Am J Case Rep,2014,15:388-392.
[3]MILLER M J,SOBERANO J P,TALLAKSEN R.Endobronchial Hamartoma Causing Postobstructive Pneumonia[J].W V Med J,2016,112(5):38-39.
[4]UCAR N,AKPINAR S,AKTAS Z,et al.Resection of endobronchial hamartoma causing recurrent hemoptysis by electrocautery and cryotherapy[J].Hippokratia,2014,18(4):355-356.
[5]KIM H R,CHOI K H,JEONG E T,et al.Resection of an endobronchial hamartoma by cryotherapy[J].Korean J Intern Med,2016,31(4):805-806.
[6]WANG T,LIU Y.Outcomes of surgical treatments of pulmonary hamartoma[J].J Cancer Res Ther,2016,12(Supplement):116-119.



