男性,40岁。
双侧颌下肿物2年,发现左肾占位病变伴血肌酐升高半年。
2年前发现双侧颌下肿物,无皮肤发红及疼痛,未诊治。半年前左腰部胀痛,当地医院腹部B超及CT示左侧肾盂占位性病变,余腹腔脏器未见异常。因怀疑恶性可能,行根治性左肾切除术,术后病理诊断:慢性肾盂肾炎,淋巴组织增生。北京协和医院病理科会诊,考虑为“IgG4相关性间质性肾炎”。 此后,查尿蛋白(-),尿红细胞(±),ESR 25mm/h,SCr 153μmol/L(53~115μmol/L),行血清 IgG 亚类测定:IgG1 9 390mg/L(4 900~11 400mg/L)。IgG2 6 460mg/L(1 500~6 400mg/L),IgG3 510mg/L(200~1 100mg/L),IgG4 10 900mg/L(80~1 400mg/L)。1个月前在当地医院行右侧颌下腺摘除术,术后病理诊断:(右颌下腺)淋巴上皮病变,结合形态及免疫组化结果,符合慢性淋巴细胞性涎腺炎症,IgG4阳性细胞稍增多。血清补体C3:75.60mg/dl(79.00~152.00mg/dl)。患者为进一步诊治,来我院门诊就诊。发病以来,无发热、皮疹、关节痛,饮食、睡眠尚可,尿量正常,大便正常,体重近半年下降2kg。
既往体健,否认糖尿病、胰腺炎、高血压等病史,无烟酒嗜好。否认类似疾病的家族史。
血压150/100mmHg,脉搏80次/分。右颌下可见一手术瘢痕,左颌下可触及一核桃大小质中、光滑、活动肿块,无压痛;双侧颈后各可及2~3个黄豆至花生米大小质软、活动淋巴结,无压痛;其余浅表淋巴结未触及。心肺未见异常。腹平,未及包块,肝脾未触及,左腰部可见一手术瘢痕,右肾区叩痛(-)。双下肢不肿。
血常规:WBC 5.09×109/L,中性粒细胞59.5%,嗜酸性粒细胞3.1%,Hb 111g/L,PLT 362×109/L;尿蛋白(-),尿红细胞 0~3/HP,尿糖(-),尿微量白蛋白 34mg/L,N-乙酰-β-D-葡萄糖苷酶(NAG) 36U/L,α1-MG127mg/L。 肝功能正常,TP 84.1g/L,ALB 42.3g/L,BUN 7.7mmol/L,SCr 153.7μmol/L(44~133μmol/L),UA 414μmol/L,电解质正常,胰淀粉酶正常。IgG 17.9g/L,IgA 1.61g/L,IgM 1.11g/L,C3 0.71g/L,C4 0.33g/L。 ANA、ANCA 均阴性。
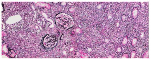
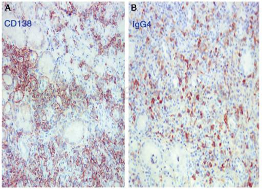
对外院的肾标本进行重新制片、免疫组化及病理会诊:肾小球缺血皱缩,肾小管弥漫萎缩及消失,肾间质大量淋巴、浆细胞浸润伴纤维化,呈“席纹”征,小动脉管壁增厚(图1,图2A)。浆细胞中IgG4阳性细胞>10/HPF,占IgG阳性细胞比例大于40%(图2B),考虑IgG4相关性间质性肾炎。

图1 IgG4相关性间质性肾炎:肾小球轻度缺血性皱缩,肾小管萎缩,肾间质大量细胞浸润(PASM×200)

图2 IgG4相关性间质性肾炎:A:肾间质内大量CD138阳性的浆细胞浸润(免疫组化×400);B:肾间质的浆细胞多数产生IgG4(>40%)(免疫组化×400)
给予泼尼松40mg/d及环磷酰胺50mg/d,氨氯地平降压。1个月后颈部淋巴结明显缩小,已难触及,左侧肿大颌下腺也明显缩小。2个月后,SCr 131.2(44~133)μmol/L,血IgG1 6 120mg/L、IgG2 5 480mg/L、IgG3 356mg/L、IgG4 5 650mg/L。 激素缓慢减量,患者正在继续随访中。
IgG4相关性间质性肾炎 左肾切除术后 慢性肾脏病3期 肾性高血压
IgG4相关性间质性肾炎是IgG4相关性疾病的组成部分,后者是近年来被新命名的具有共同病理学和免疫学特征的一组自身免疫性疾病,其中自身免疫性胰腺炎和腹膜后纤维化是已认识的疾病,而IgG4相关性间质性肾炎则是近年来新认识的疾病。
IgG4相关性疾病可累及全身多个脏器,临床表现为缓慢发生的器官肿大及功能障碍,较常受累脏器包括胰腺(自身免疫性胰腺炎)、肾脏(间质性肾炎)、涎腺(颌下腺肿大)等,40%可合并哮喘、过敏性鼻炎等过敏表现,但发热、CRP升高等炎症表现不突出,少数患者病程中可有自发缓解。影像学检查可发现器官肿大、或占位性病变,与恶性肿瘤较难区分,多需病理诊断确诊。
IgG4相关性疾病的发病机制不清,主要是产生IgG4的浆细胞在脏器的慢性纤维炎性病变中所起的角色不清。IgG4相关性疾病的诊断标准尚不统一,阐述清晰而且实用的推荐2012年公布的IgG4相关性疾病的病理学共识(2011年IgG4相关性疾病国际研讨会共识)。其必要条件首先是其病理形态特征,包括:①致密的淋巴及浆细胞浸润;②组织纤维化,呈“席纹”或“漩涡”状;③闭塞性静脉炎(肾穿刺组织小,难以见到);符合两条以上则高度怀疑。其次,需要IgG4的免疫染色:IgG4阳性细胞>10/400倍视野(>50特异性高),并且IgG4/IgG细胞≥40%。血清IgG4>1 350mg/L不是必备条件,约40%患者不升高。本患者的临床表现及病理学检查符合上述诊断标准。
包括IgG4相关性间质性肾炎在内的多数IgG4相关性疾病患者对糖皮质激素的短期疗效较好。口服泼尼松30~40mg/d,2个月后逐步减量,多数患者受累腺体及肿大淋巴结缩小、肾功能改善。对于疗效较差的患者或激素减停过程中反复的患者,可加用环磷酰胺或其他免疫抑制剂治疗。利妥昔单抗对于诱导缓解及减少复发也有较好疗效。
1.IgG4相关性疾病是具有共同病理学和免疫学特征的一组疾病。临床上提高对此类疾病的认识,掌握病理检查的要点。
2.多数IgG4相关性疾病患者对糖皮质激素的短期疗效较好,但减停药过程中容易复发,常需加用其他免疫抑制药物治疗。
(刘 刚 赵明辉)
1.Stone JH,Zen Y,Deshpande V.IgG4-related disease.N Engl J Med,2012,366(6):539-551.
2.Saeki T,Nishi S,Imai N,et al.Clinicopathological characteristics of patients with IgG4-related tubulointerstitial nephritis.Kidney Int,2010,78(10):1016-1023.
3.Deshpande V,Zen Y,Chan JK,et al.Consensus statement on the pathology of IgG4-related disease.Mod Pathol,2012,25(9):1181-1192.
4.Ebbo M,Grados A,Samson M,et al.Long-term efficacy and safety of rituximab in IgG4-related disease:Data from a French nationwide study of thirty-three patients.PLoS One,2017,12(9):e0183844.



