男性,23岁。
间断咯血4个月,发现血尿、蛋白尿1个月。
4个月前无明显诱因间断出现痰中带少量鲜血丝,无发热、咳嗽及胸痛,未诊治。2个月前出现咯鲜血3~4次,每次2~3ml,外院查胸片“未见异常”,未治疗。1个月前受凉后发热,体温38.2℃,伴胸闷、憋气。第2天咯血加重呈鲜血痰,每次1~2ml,伴咳嗽、头痛、乏力。于外院就诊,查体右肺底可闻及湿啰音。血WBC 14.8×109/L,中性粒细胞占比82.1%,Hb 71.0g/L。 尿常规示蛋白+,RBC 3~5/HP。 动脉血气分析:pH 7.385,PO258mmHg,PCO2 40mmHg,SaO288%。胸片示双肺弥漫性渗出性改变呈点斑片状。诊为肺部感染、Ⅰ型呼吸衰竭,给予头孢他啶、红霉素抗感染及输血治疗,3周后无好转。行气管镜示:左、右肺上、中、下叶各开口通畅,黏膜充血、肥厚,表面无光泽,未见新生物,左肺偶见散在出血点,灌洗液均为血性液体。为进一步诊治入院。
体健。从事汽车修理工作,长期接触汽油、柴油等。吸烟4年,20支/天。否认酗酒、药物滥用史。
体温36.8℃,脉搏75次/分,血压135/80mmHg,呼吸22次/分。听诊双肺呼吸音粗,右下肺可闻及中等量湿啰音。心脏和腹部查体未见明显异常。双下肢无水肿。
血 WBC 12.8×109/L,PLT 178×109/L,Hb 62g/L。 ESR 14mm/h。 尿 RBC 5~10/Hp,为变形红细胞。 尿蛋白定量 0.87g/d。 血 SCr 94.0μmol/L,BUN 6.3mmol/L,ALB 39.6g/L,肝功能正常。RF、CRP、ANCA、ANA、抗dsDNA、ENA均阴性。抗GBM抗体阳性。双肾B超:大小、形态正常。
急性肾炎综合征 抗GBM病肾功能正常
肺出血 间质性肺疾病 Ⅰ型呼吸衰竭
患者以咯血为首发表现,之后出现肾脏损害,但程度较轻,表现为轻度血尿和少量蛋白尿,肾功能正常。患者符合肺出血-肾炎综合征的表现,进一步查ANCA、ANA、抗dsDNA和ENA均阴性,可以除外ANCA相关性小血管炎、系统性红斑狼疮。临床表现及辅助检查亦不支持抗磷脂综合征、血栓性微血管病、心衰、结核等疾病。同时查血清抗GBM抗体阳性,因此诊断为抗肾小球基底膜病。患者病程进展较缓,属少见类型,虽然肾功能正常,但有血尿、蛋白尿等肾脏受损的证据,需要尽快肾活检明确病理类型,指导治疗、判断预后。
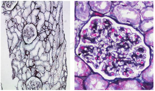
患者于入院第4天行肾穿刺活检病理检查。免疫荧光:IgG(++)、C3(++),沿毛细血管壁呈线形沉积(图1)。光镜:12个肾小球,系膜细胞轻微弥漫增生,毛细血管基底膜空泡变性,肾小管、肾间质、小动脉无明显病变,未见新月体形成(图2)。结合临床和荧光检查符合抗GBM病。

图1 肾功能正常的抗GBM病:IgG呈细线状沿肾小球毛细血管壁沉积(免疫荧光×400)

图2 肾功能正常的抗GBM病:肾小球、肾小管、肾间质和小动脉无明显病变,仅见肾小球系膜细胞和基质轻度增生(A:PASM×100,B:PASM+Masson×400)
患者入院后给予泼尼松60mg/d,8周后逐渐减量,6个月时停药。治疗2周后咯血停止,肺功能恢复,血尿、蛋白尿消失。6周时血清抗GBM抗体转阴。治疗过程中肾功能始终保持正常。7年来患者一直在我院门诊定期随诊,病情稳定,未复发。
抗GBM病 轻度系膜增生性肾小球肾炎 慢性肾脏病Ⅰ期 肺出血 间质性肺疾病Ⅰ型呼吸衰竭
本病例是一个肾功能正常的抗GBM病的病例。抗GBM病是由一组疾病组成,主要的受累脏器是肺和肾脏。近年来,随着血清学诊断方法的普及以及临床医师对抗GBM病认识的提高,肾脏受累较轻的患者常有报道。国外资料显示有15%~36%的抗GBM病患者始终保持肾功能正常,预后较好,多为肺出血合并轻度系膜增生性肾小球肾炎。北京大学第一医院近年资料也发现部分抗GBM病患者肾功能正常。肾活检为轻度系膜增生性肾小球肾炎,或伴有少量(<50%)细胞性新月体形成,但这部分只占抗GBM病患者总数的约3%,提示可能存在对轻型、早期病例的误漏诊。这类患者咯血持续存在,可能出现大咯血危及生命或肾脏病变出现进展。因此,当肺出血患者出现肾脏受累表现时,无论其病情进展迅速与否,肾功能是否正常,均应考虑到抗GBM病可能,及时检测血清抗GBM抗体,并及时行肾穿刺活检,以达到早诊断、早治疗、改善预后的目的。
抗GBM病肾功能保持正常的原因尚未明确,目前比较公认的有:①早期诊断和及时治疗。这应归功于临床医师对肺出血作为抗GBM病首发表现的认识增加。②抗GBM抗体免疫学特性的差异。抗体水平越低、亲合力越低,肾脏损害越轻。肾脏损害重的患者,抗体的抗原决定簇谱较广。③HLA单倍型的不同遗传表型可能是抗GBM病肾功能正常的原因之一。
对于肾功能正常的抗GBM病的治疗,目前尚无定论。多数给予与肾功能异常者相同的治疗(血浆置换、糖皮质激素及环磷酰胺),以防止病情进展。但确有一部分患者,未予任何治疗,肾功能一直保持正常,病情没有进展,可能还存在其他原因。
1.肾功能正常的抗GBM病并不罕见,对轻型、早期患者可能存在误漏诊。
2.此类患者以肺出血为主要临床表现,肾脏损害较轻。
3.对可疑患者应尽早检测血清抗GBM抗体,并及时行肾穿刺活检,以达到早诊断、早治疗、改善预后的目的。
(崔 昭 陈 旻)
1.Bell DD,Moffatt SL,Singer M,et al.Antibasement membrane antibody disease without clinical evidence of renal disease.Am Rev Respir Dis,1990,142(1):234-237.
2.Ang C,Savige J,Dawborn J,et al.Anti-glomerular basement membrane(GBM)-antibody-mediated disease with normal renal function.Nephrol Dial Transplant,1998,13(4):935-939.
3.Cui Z,Zhao MH,Singh AK,et al.Antiglomerular basement membrane disease with normal renal function.Kidney Int,2007,72(11):1403-1408.
4.Cui Z,Zhao MH.Advances in human antiglomerular basement membrane disease.Nat Rev Nephrol,2011,7(12):697-705.
5.Ossman R,Buob D,Hellmark T,et al.Factors associated with pathogenicity of anti-glomerular basal membrane antibodies:a case report.Medicine (Baltimore),2016,95(19):e3654.



