作 者:陈白莉(副主任医师 中山大学附属第一医院消化内科)
指导者:陈旻湖(主任医师 中山大学附属第一医院消化内科)
欧洲克罗恩病和结肠炎组织(European Crohn’s and Colitis Organisation,ECCO)关于克罗恩病的诊治共识意见中指出,与普通人群相比,炎性肠病(inflammatory bowel disease,IBD)患者发生血液系统恶性肿瘤风险更高。溃疡性结肠炎(ulcerative colitis,UC)患者更容易发生白血病,克罗恩病患者更容易发生淋巴瘤,特别是非霍奇金淋巴瘤(non-Hodgkin lymphoma,NHL)。Jess等纳入2325例IBD的队列研究发现,克罗恩病患者患淋巴瘤风险较正常人群增加3倍[标化发病比(standardized incidence ratio,SIR)3.01,95%CI 1.21~6.19)],患非霍奇金淋巴瘤风险升高3.43倍(SIR 3.43,95%CI 1.38~7.07)。Pedersen荟萃分析8篇队列研究,共17 000名患者,结果提示UC患者急性白血病发病风险升高(SIR 2.00,95%CI 1.31~3.06),而克罗恩病患者患淋巴瘤风险增大(SIR 1.42,95%CI 0.95~2.12)。接受硫唑嘌呤治疗的IBD患者发生淋巴瘤的风险上升,这些患者不可避免地将出现慢性潜伏性EB病毒再激活,从而进展为淋巴瘤。由于EB病毒阳性患者可能出现单核细胞增多症并继发淋巴瘤,对于年轻男性IBD患者而言,只考虑对EB病毒血清学阴性者给予硫唑嘌呤治疗。对于同时接受硫唑嘌呤和抗肿瘤坏死因子(tumor necrosis factor,TNF)制剂的年轻男性患者,可以通过控制两者联用时间至2年以下来降低肝脾T细胞淋巴瘤发生风险。使用免疫调节剂的患者发生血液系统肿瘤的风险增高。对于需要长期治疗的年轻男性患者,应尽量避免联合使用免疫抑制剂,或采用甲氨蝶呤代替硫唑嘌呤。早期发病、男性、大于65岁是IBD患者发生血液系统恶性肿瘤的危险因素。IBD患者如果出现持续性血液系统异常表现,且对治疗无反应,或出现不能解释的发热、淋巴结肿大、肝脾大等,需警惕血液系统恶性肿瘤,应进行全面检查并请血液科会诊。
1.患者基本情况
患者:男性,25岁,汉族,未婚,广东佛山人。
入院时间:2017年11月7日。
主诉:反复腹痛、腹泻7年余,双下肢水肿1周。
现病史:患者于7年余前无明显诱因出现腹部绞痛,以脐下疼痛为主,继而出现腹泻,腹泻后疼痛缓解,开始时为水样便,量中等,3~5次/d,近期逐渐转为黄色稀烂便,不成形,4次/d,到本院就医,诊断为克罗恩病(回肠结肠型,非穿通非狭窄型)。给予注射用英夫利西单抗(类克)治疗3次后,患者腹痛症状消失,排便次数减少,每日1~2次成形黄色便,偶有黄色稀烂便。2010年11月,患者再次出现腹痛、腹泻,复查肠镜未见克罗恩病典型病变,考虑不排除肠结核,予“利福平0.45g qd,异烟肼0.3g qd,吡嗪酰胺0.5g tid,左氧氟沙星0.5g qd”诊断性抗结核治疗。治疗3个月后复查结肠镜见病变无明显好转,遂停用抗结核药。2011年3月始,患者先后服用激素及“硫唑嘌呤片75mg qd、沙利度胺75mg qd”维持治疗,症状反复。2014年6月,患者出现肛瘘,沙利度胺加量至100mg qd。2015年复查肠镜发现,直肠至回盲部见多发溃疡伴肠腔狭窄,临床医师考虑硫唑嘌呤疗效欠佳,于12月开始给予甲氨蝶呤20mg qw治疗。近一周,患者开始出现双下肢水肿(重度、凹陷性、对称性),无头痛、头晕、恶心、呕吐、腹胀、腹痛、腹泻等不适。患者目前排便3~4次/d,色黄、质软、成形;精神、食欲、睡眠一般,小便正常,体重下降。既往史、个人史、家族史无特殊。
2.入院查体
体温(temperature,T)36.8℃,脉率(pulse rate,P)117次 /min,呼吸频率(respiratory frequency,R)20次 /min,血压(blood pressure,BP)113/83mmHg。神志清楚,查体配合。左腋窝可触及鸽子蛋大小淋巴结,质韧、活动度可、无压痛。腹部膨隆,未见胃肠型及蠕动波,可见腹壁静脉。腹部平软,无压痛及反跳痛,未触及腹部肿块。肋下五横指处可触及肿大肝脏,质地韧,表面光滑,无压痛。麦氏点无压痛及反跳痛,胆囊未触及,墨菲征(Murphy sign)阴性。脾脏肋下10cm可触及,表面不平,质韧。肝浊音界存在,双肾无明显叩击痛,移动性浊音阳性。听诊肠鸣音正常,4次/min,未闻及血管杂音。双下肢重度凹陷性水肿,呈对称性。
3.入院辅助检查
(1)肠镜
2011年1月至2011年3月,诊断性抗结核治疗3个月,复查肠镜,未见好转(图1)。

图1 抗结核治疗后复查肠镜所见
引自:消化系统疑难疾病诊疗思维及病例解析.第1版.ISBN:978-7-117-28669-5.主编:
2012年6月、2014年9月及2015年5月,复查肠镜3次,见全结肠多发不规则溃疡,息肉样增生及肠腔狭窄。肠镜下活检病理见“小肉芽肿”“节细胞增生”。2014年9月23日肠镜检查显示,全大肠见多量息肉样、结节样增生及多量大小、形态不一的溃疡,其中直肠、乙状结肠交界见一纵行溃疡,直肠距肛门3cm处见一深凿样溃疡,肛门截石位9点处见一外瘘口(图2)。

图2 肠镜检查所见
a. 回盲部;b. 肛瘘;c. 直乙交界;d. 直肠
引自:消化系统疑难疾病诊疗思维及病例解析.第1版.ISBN:978-7-117-28669-5.主编:
(2)实验室检查(本次入院后检查)
血红蛋白(hemoglobin,Hb)85g/L,C反应蛋白(C-reactive protein,CRP)13mg/L,乳酸脱氢酶(lactate dehydrogenase,LDH)1173U/L,白蛋白(albumin,ALB)18g/L,总胆红素(total bilirubin,TBIL)80.5µmol/L。EB 病毒核酸定量(EBV DNA)1.65×104copies/mL,巨细胞病毒(cytomegalovirus,CMV)定性(CMV DNA)、γ-干扰素释放试验(interferon-γ release assay,IGRAs)(-)。腹水为渗出液,白细胞(white blood cell,WBC)510×106/L,单核粒细胞占比0.60。
4.初步诊断思维过程
(1)入院时病情总结
患者为青年男性,病程长;主诉反复腹痛、腹泻7年,病程中出现贫血、体重下降、肛瘘,近1周觉腹胀、双下肢水肿;查体见左腋下淋巴结肿大,直径约2.5cm,肝脾大、平脐,腹水征(+)。肠镜显示回结肠病变,多发溃疡、息肉样增生。肠镜下病理显示小肉芽肿,节细胞增生,免疫组化无淋巴瘤证据。近几年,患者先后采用注射用英夫利西单抗、激素、硫唑嘌呤、沙利度胺、甲氨蝶呤等治疗,均未取得疗效。
(2)入院时诊断思路
患者为青年男性,主诉反复腹痛、腹泻,病程长达7年,病程中出现贫血、体重下降、肛瘘,多次肠镜提示回结肠多发溃疡,病理示小肉芽肿,节细胞增生,均支持克罗恩病(Crohn disease,CD)诊断。但患者在病程中先后采用注射用英夫利西单抗、激素、硫唑嘌呤、沙利度胺、甲氨蝶呤治疗,均未取得疗效,与克罗恩病的疾病转归不符。此外,患者近1周出现腹水,查体见左腋下淋巴结肿大,肝脾大,这些均是克罗恩病无法解释的临床表现,需注意淋巴瘤的可能。
(3)入院时初步诊断
①淋巴结肿大查因:淋巴瘤?克罗恩病?结核?②克罗恩病。
5.后续检查
(1)2017年11月13日正电子发射计算机体层显像(positron emission tomography and computed tomography,PET-CT)
肝左叶、脾脏多发结节、肿块,代谢明显活跃;左侧腋窝、腹腔及双侧腹股沟区多发肿大淋巴结,部分代谢活跃,考虑为恶性肿瘤,淋巴瘤可能性大;回盲部局限性代谢活跃,需结合肠镜检查结果判断;结直肠肠壁多处增厚,代谢未见增高,考虑为炎性病变;中轴骨、骨盆骨及四肢骨近端骨髓代谢弥漫性轻度增高(图3)。

图3 PET-CT检查
引自:消化系统疑难疾病诊疗思维及病例解析.第1版.ISBN:978-7-117-28669-5.主编:
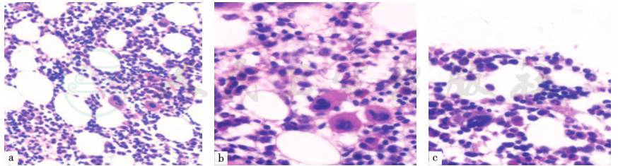
(2)2017年11月16日骨髓活检(图4)
穿刺骨髓组织增生大致正常,可见三系造血细胞,均以偏成熟阶段为主,粒红系比例稍减少,可见分叶核巨核细胞,未见明确肿瘤浸润,需结合临床表现判断。免疫组化示:髓过氧化物酶(myeloperoxidase,MPO)髓系细胞(+),CD5、CD3示散在分布小淋巴细胞(+),CD79a、CD20示散在分布小淋巴细胞(+)。

图4 骨髓活检病理(HE染色)
a、b. 100×;c. 400×
引自:消化系统疑难疾病诊疗思维及病例解析.第1版.ISBN:978-7-117-28669-5.主编:
(3)2017年11月20日淋巴结活检病理(图5)
淋巴结正常结构破坏,淋巴滤泡结构消失,异型细胞弥漫分布,细胞体积较大,胞质丰富,核卵圆形,核仁明显,核分裂象易见。免疫组化示肿瘤细胞 CD20(+),CD79a(+),ki-67 约 60%(+),EBER(-)。诊断:非霍奇金淋巴瘤(弥漫性大B细胞淋巴瘤)。

图5 淋巴结活检病理
a. 淋巴结大体,淋巴结包膜完整;b. 淋巴结大体,切面呈鱼肉状;c. 淋巴结正常结构破坏,异型细胞弥漫浸润(HE染色,20×);d. 异型淋巴样细胞体积较大,胞质丰富,核卵圆形(HE染色,100×);e. 免疫组化CD20异型细胞弥漫阳性(20×)
引自:消化系统疑难疾病诊疗思维及病例解析.第1版.ISBN:978-7-117-28669-5.主编:
6.最终诊断思维过程
(1)最终诊断思路
患者出现腹水、双下肢水肿、腋窝淋巴结肿大、肝脾明显增大,这些临床表现均无法用克罗恩病解释,需注意淋巴瘤的可能。入院后经淋巴结活检、PET-CT检查,诊断为非霍奇金淋巴瘤(弥漫性大B细胞性)。但患者病程长达7年,是否为克罗恩病合并淋巴瘤?抑或起病即为淋巴瘤,临床上误诊为克罗恩病?考虑到患者腹痛、腹泻伴有肛瘘,病理上有类上皮样肉芽肿等典型克罗恩病证据,且多次肠道病理及组化结果未见淋巴瘤证据,PET-CT结果提示结直肠肠壁多处增厚,代谢未见增高,考虑为炎性病变。综合以上结果,考虑诊断为克罗恩病合并淋巴瘤。
(2)最终诊断
①弥漫性大B细胞性淋巴瘤;②克罗恩病;③EB病毒(Epstein-Barr virus,EBV)血症。
(3)治疗方案
①R-CHOP 方案[美罗华(rituximab,R)、环磷酰胺(cyclophosphamide,C)、阿霉素(adriamycin,H)、长春新碱(oncovin,O)、泼尼松(prednisone,P)]化疗4疗程;②沙利度胺50mg qn。
7.后续随访(2018年4月11日)
患者主诉:无腹痛、腹胀。
查体:全身浅表淋巴结未触及肿大,肝脾肋下未触及,双下肢无水肿。
血常规:WBC 4.28×109/L,Hb 71g/L。
粪隐血试验(occult blood test,OBT):(+)。
肠镜:结肠多发溃疡。
该患者为青年男性,主诉反复腹痛、腹泻,病程长达7年,病程中出现贫血、体重下降、肛瘘,多次肠镜提示回结肠多发溃疡,病理示小肉芽肿,节细胞增生,均支持克罗恩病诊断,但患者病程中先后采用注射用英夫利西单抗、激素、硫唑嘌呤、沙利度胺、甲氨蝶呤治疗,均未取得疗效,与克罗恩病的疾病转归不符。随访7年后,患者出现腹水,左腋下淋巴结肿大,肝脾大,这些均是克罗恩病无法解释的临床表现,经淋巴结活检、PET-CT检查诊断为非霍奇金淋巴瘤(弥漫性大B细胞性)。
对肠道多发溃疡疑似克罗恩病的患者,若激素、免疫抑制剂或英夫利西单抗治疗效果欠佳,特别是年轻男性,EB-DNA阳性者,应注意淋巴瘤可能。NK/T细胞淋巴瘤在临床上常误诊为克罗恩病,需反复多次行病理活检,甚至手术才能确诊。
该患者目前诊断为淋巴瘤,但病程长达7年时间,是否为克罗恩病合并淋巴瘤?抑或起病即为淋巴瘤?考虑到患者腹痛、腹泻伴有肛瘘,病理检查见类上皮样肉芽肿等典型克罗恩病证据,且多次肠道病理及免疫组化检查结果未见淋巴瘤证据,PET-CT检查结果提示结直肠肠壁多处增厚,代谢未见增高,考虑为炎性病变。经化疗后,患者淋巴瘤症状好转,但复查肠镜仍有结肠多发溃疡,综合以上结果,考虑为克罗恩病合并淋巴瘤。
[1] Claude Eugène. The second European evidence-based Consensus on the diagnosis and management of Crohn’s disease. J Crohns Colitis,2010,4:28-62.
[2] Jess T,Fallingborg J,Rasmussen HH,et al. Cancer risk in inflammatory bowel disease according to patient phenotype and treatment: a Danish population-based cohort study. Am J Gastroenterol,2013,108:1869-1876.
[3] Pedersen N,Duricova D,Elkjaer M,et al. Risk of extra-intestinal cancer in inflammatory bowel disease: meta-analysis of population-based cohort studies. Am J Gastroenterol,2010,105:1480-1487.



