(一)病例信息
【病史】
女性患者,48岁,因间断胸闷、憋气、胸痛2个月,于2011年5月24日入院。患者于2个月前无明显诱因出现胸闷、憋气,无胸痛、发热、咳嗽等不适,无乏力、盗汗,起初未予重视,症状逐渐加重,在当地医院住院行抗感染治疗,未见好转,期间出现胸痛、胸闷加重,并发现右侧胸腔积液和颈部淋巴结肿大,颈淋巴结活检考虑为增殖性结核病,遂转入我院进一步治疗。
患者40年前患肺结核,自诉已治愈。其母亲死于肺癌。
【体格检查】
体温36.4℃,心率85次/分,呼吸20次/分,血压110/75mmHg。神志清醒,能合作;右颈部可触及多个肿大淋巴结;口唇无发绀;右下肺呼吸音低,未闻干、湿啰音;心、腹未见明显异常;双下肢不肿。
【实验室检查】
血液检查:肿瘤标志物除NSE 19.28μg/L,其余项目正常;结核抗体阳性;CRP 2.75mg/dl;血清血管紧张素转化酶(serum angiotensin converting enzyme,SACE)45U/L,乳酸脱氢酶(LDH)197U/L,腺苷脱氨酶(adenosine deaminase,ADA)13.8U/L。
胸腔积液:淡黄色;有核细胞16.76×109/L,RBC 0.2×109/L,N% 2%,L% 98%;总蛋白(TP)55g/L,ADA 17.6U/L,LDH 164U/L,CRP 5.7mg/L ;未发现肿瘤细胞。
右锁骨上淋巴结活检:淋巴结肉芽肿性病变,首先考虑为增殖性结核病,结节病待排除。
【影像学检查】
颈部淋巴结B超:右颈部多个低回声结节,最大约28mm×12mm,轮廓尚清楚,内无明显血流信号。
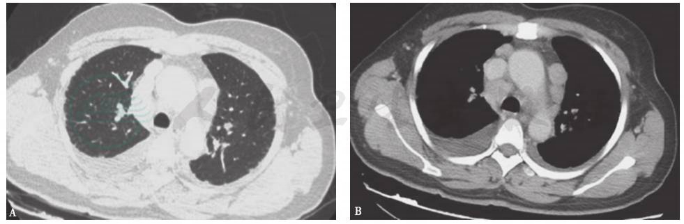
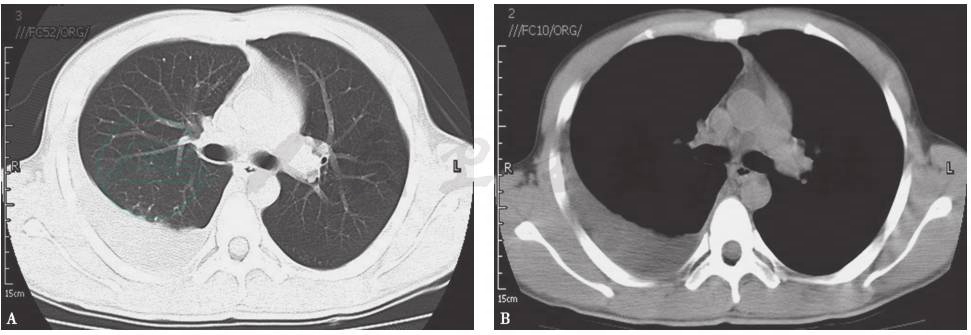
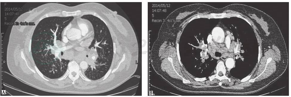
胸部CT:纵隔内见多组淋巴结肿大,斜裂胸膜区多发小结节影,双肺间质纹理增多,双侧胸腔积液,少量心包积液(图1)。

图1 胸部CT表现
胸部CT可见纵隔多组淋巴结肿大,双肺间质纹理增多,双侧胸腔积液,右侧胸腔积液更为明显
引自:呼吸系统疑难病例诊疗辨析.第1版.ISBN:978-7-117-26415-0.主编:
(二)临床思辨
【临床特点】
1.患者为中年女性,慢性病病史。
2.主要症状和体征为胸闷、胸痛、淋巴结肿大。
3.实验室检查显示外周血白细胞不高,CRP升高,血沉略增快,肝功能轻度异常。
4.影像学检查见两肺门及纵隔内多个淋巴结肿大,双侧胸腔积液。
5.发病2个月过程中,经多种抗感染治疗均无效,胸腔积液无吸收。
【思辨要点】
胸腔积液的鉴别一般从辨别是漏出液还是渗出液开始。符合下列三项标准中任何一项者为渗出液:①胸腔积液蛋白与血清蛋白之比>0.5;②胸腔积液LDH>200U/L或大于正常血清LDH最高值的2/3;③胸腔积液LDH与血清LDH之比>0.6。根据上述诊断标准,本例患者胸腔积液明确为渗出液。
渗出液一般分为感染性胸腔积液、恶性胸腔积液、结缔组织疾病相关性胸腔积液及其他原因胸腔积液。对于本病例,首先需要明确是感染性胸腔积液还是非感染性胸腔积液。
常见非感染性胸腔积液有恶性胸腔积液以及肺栓塞、胃肠道疾病、结节病、尿毒症、石棉沉着病、物理性和医源性损伤等所致胸腔积液,其中恶性胸腔积液最为常见。恶性胸腔积液为恶性肿瘤直接侵犯或转移至胸膜所致,常见于肺癌、乳腺癌、淋巴瘤,其他还有卵巢癌转移等,也可发生于原发性胸膜恶性肿瘤(即恶性胸膜间皮瘤)(图2)。恶性胸腔积液是晚期肿瘤的重要并发症,通常胸腔积液增长较快且持续存在(图3)。本例患者在出现胸腔积液的同时发现淋巴结肿大,淋巴结活检结果暂不考虑为恶性疾病,且胸腔积液增长速度不快,反复查胸腔积液细胞学未发现肿瘤细胞,故恶性胸腔积液诊断依据不足。肺栓塞所致胸腔积液多为肺梗死状态下发生的血性渗出,本例患者CT肺动脉造影未发现肺动脉栓塞,故可基本排除肺栓塞可能。结节病引起的胸腔积液可表现为多种形式,本例患者纵隔淋巴结肿大明显,SACE 45U/L,需进一步鉴别之。对于其他非感染性胸腔积液,如胃肠道疾病、风湿免疫病、尿毒症、石棉沉着病、物理性或医源性损伤等所致胸腔积液,患者无相应基础病,故暂不考虑。

图2 胸膜间皮瘤影像学特点
胸部CT显示右侧胸膜弥漫性结节状增厚,累及肋胸膜、纵隔胸膜及叶间胸膜,右侧包裹性胸腔积液;右肺体积缩小伴肺膨胀不全。诊断恶性间皮瘤
引自:呼吸系统疑难病例诊疗辨析.第1版.ISBN:978-7-117-26415-0.主编:

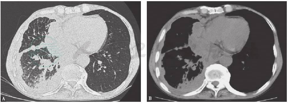
图3 恶性胸腔积液影像学特点
胸部CT显示右肺上叶尖后段斑片影,边界模糊。右侧胸廓内缘与右肺之间可见包裹性胸腔积液,伴右侧胸膜局限性增厚。诊断右上肺癌
引自:呼吸系统疑难病例诊疗辨析.第1版.ISBN:978-7-117-26415-0.主编:
感染性胸腔积液最常见的原因是肺炎旁积液、化脓性和结核性胸膜炎(脓胸)。肺炎旁积液指因细菌性肺炎、肺脓肿或支气管扩张感染加重引起的胸腔积液(图4),大多数为胸膜反应性渗出,液体较少,随肺炎好转而吸收,极少数患者可演变成脓胸。急性化脓性胸膜炎患者常有高热、脉速、呼吸急促、胸痛、食欲缺乏、全身乏力、白细胞增多等表现,胸部影像学检查可见短期内出现多发包裹性胸腔积液或大量脓性渗出物在胸腔内积聚(图5)。结核性胸膜炎早期表现为胸膜纤维素性渗出,继而出现浆液性渗出。由于大量纤维蛋白沉着于胸膜,可形成包裹性胸腔积液或广泛胸膜增厚,胸膜常有结核结节形成(图6)。典型临床表现结合胸部X线影像、ESR增快、PPD试验强阳性,胸腔积液符合渗出液改变特点,且ADA>45U/L,并排除其他原因,方可考虑诊断结核性胸膜炎。本例患者多次查胸腔积液,ADA水平均未达到诊断结核性胸膜炎的标准,且无发热、盗汗等结核中毒症状,故为结核性胸膜炎的可能性比较小。但是,个别结核性胸膜炎病例临床表现不典型,常规检查结果差异较大,因此,对于本病例还需行胸膜活检以进一步排除。

图4 肺炎旁积液的影像学特点
胸部CT显示左肺上叶实变,并可见肺脓肿,邻近胸膜腔可见包裹性胸腔积液
引自:呼吸系统疑难病例诊疗辨析.第1版.ISBN:978-7-117-26415-0.主编:

图5 化脓性胸膜炎的影像学特点
男性,34岁,肾移植术后3周,发热、咳嗽、咳痰6天。胸部X线片显示左侧大量胸腔积液(A),胸部CT显示左侧胸腔积液伴胸膜肥厚(B、C)。胸腔积液可见脓性外观(D)。胸腔积液生化检测结果:TP 43.1g/L,LDH 6769U/L,血糖0.59mmol/L,ADA 80.4U/L
引自:呼吸系统疑难病例诊疗辨析.第1版.ISBN:978-7-117-26415-0.主编:

图6 结核性胸膜炎影像学特点
胸部CT显示右侧胸廓内缘与肺野之间可见带状水样密度影,密度均匀,与肺边界清晰,边缘与胸廓内缘呈钝角相交,可见脏、壁层的胸膜增厚
引自:呼吸系统疑难病例诊疗辨析.第1版.ISBN:978-7-117-26415-0.主编:
(一)临床信息
【实验室和其他辅助检查】
一般检查:血常规、肝肾功能均正常。T-SPOT阴性,PPD试验18mm,结核抗体阳性,PCT<0.05,血肿瘤标志物CA125 272.4U/ml,血钙2.8mmol/L,痰结核分枝杆菌涂片阴性。
血气分析:pH 7.466,PaO2 68.8mmHg,PaCO2 35.3mmHg,SaO2 93.5%。
肺功能检查:提示轻度限制性通气功能障碍,小气道病变,单位弥散量基本正常,残/总百分比增高。FEV1 1.64L(75%预计值);FEV1/FVC 86%(117%预计值)。
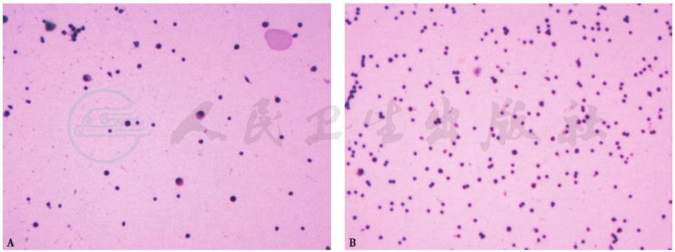
胸腔积液:细胞学检查见大量增殖活跃的间皮细胞及较多淋巴细胞,未发现肿瘤细胞(图7)。其他检查结果见表1。

图7 胸腔积液细胞病理表现(HE染色,400×)
引自:呼吸系统疑难病例诊疗辨析.第1版.ISBN:978-7-117-26415-0.主编:
表1 胸腔积液常规和生化检查结果

LDH:乳酸脱氢酶;ADA:腺苷脱氨酶;ACE:血管紧张素转化酶;GLU:葡萄糖
日期 相关指标 5月24日 5月31日 6月3日 6月10日 |
WBC(×109/L) 4800 3650 3500 3250 单核细胞比例(%) 90 90 90 90 蛋白(g/L) 53.2 47.4 44.4 45.7 LDH(U/L) 188 155 349 246 ADA(U/L) 15.9 15.1 18.7 24.5 ACE(U/L) 44.4 34.4 35.1 44.7 GLU(mmol/L) 6.95 5.36 5.45 7.82 氯化物(mmol/L) 110.8 110.3 112 109.9 |
引自:呼吸系统疑难病例诊疗辨析.第1版.ISBN:978-7-117-26415-0.主编:
【影像学检查】
超声检查:右侧颈部多发肿大淋巴结,双侧胸腔积液。
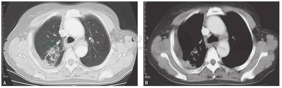
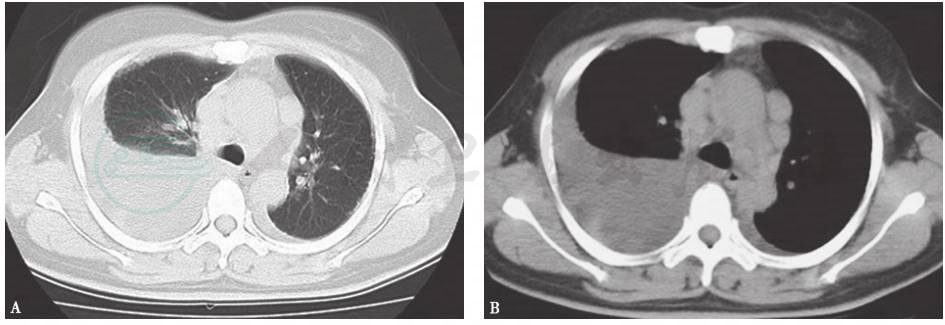
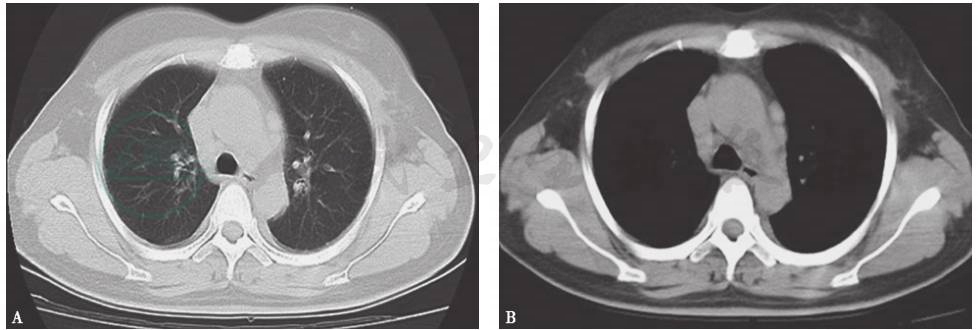
胸部CT:两肺门及纵隔内多个淋巴结肿大,斜裂胸膜区多发小结节,两肺间质纹理增多,双侧胸腔积液,右侧胸腔积液较前明显增多(图8)。

图8 胸部CT表现
引自:呼吸系统疑难病例诊疗辨析.第1版.ISBN:978-7-117-26415-0.主编:
【胸腔镜检查】
镜下可见右胸壁层胸膜多发结节(图9)。胸腔积液沉淀抗酸染色阳性。
胸膜活检病理结果显示干酪性肉芽肿改变(图10),颈部淋巴结活检可见非干酪性肉芽肿改变(图11),考虑为结节病。

图9 胸腔镜下表现
引自:呼吸系统疑难病例诊疗辨析.第1版.ISBN:978-7-117-26415-0.主编:

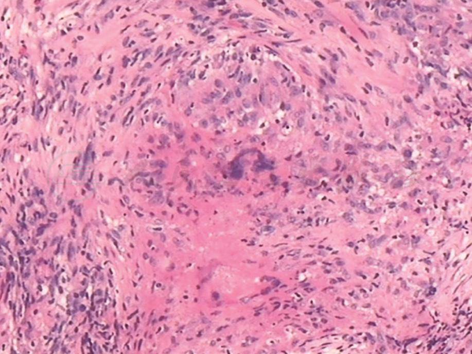
图10 胸膜活检病理表现
胸膜活检病理结果提示类上皮细胞肉芽肿伴多核巨细胞及中心凝固性坏死,符合结核病表现(HE染色,400×)
引自:呼吸系统疑难病例诊疗辨析.第1版.ISBN:978-7-117-26415-0.主编:

图11 颈淋巴结活检病理表现(HE染色,100×)
引自:呼吸系统疑难病例诊疗辨析.第1版.ISBN:978-7-117-26415-0.主编:
(二)临床思辨
入院后的系列检查显示:①中等量到大量胸腔积液;②呼吸困难逐渐加重(未经治疗);③胸腔镜下可见右胸壁层胸膜多发结节;④胸膜活检病理表现为凝固性坏死;⑤胸腔积液为渗出液,抗酸染色阳性;⑥胸部影像学检查显示纵隔淋巴结对称肿大;⑦淋巴结活检有淋巴结肉芽肿性病变;⑧血管紧张素转化酶(angiotensin converting enzyme,ACE)升高;⑨高血钙。
1.根据现有临床资料,本病例可以确诊结核性胸膜炎吗?
本例患者无发热等结核中毒症状,胸腔积液ADA不高,与典型结核性胸膜炎表现有所不同,但是以下临床特点符合结核性胸膜炎诊断条件:①中等量到大量胸腔积液;②未经治疗,呼吸困难是逐渐加重的;③胸腔镜下可见右胸壁层胸膜多发结节;④病理表现为凝固性坏死;⑤胸腔积液化验为渗出液,抗酸染色阳性。因此,根据病理改变特征,本病例可以明确结核性胸膜炎的诊断。
2.根据现有临床资料,本病例可以确诊结节病吗?
结节病的诊断标准:①胸部影像学检查显示双侧肺门及纵隔淋巴结对称肿大,伴或不伴有肺内网格、结节状或片状阴影(图12);②组织学活检证实有非干酪性坏死性肉芽肿,且抗酸染色阴性;③SACE活性增高;④血清或支气管肺泡灌洗液(BALF)中可溶性白介素2受体(soluble interleukin-2 receptor,sIL-2R)高;⑤PPD试验阴性或弱阳性;⑥BALF中淋巴细胞>10%,且CD4+/CD8+比值≥3;⑦血钙、高尿钙症;⑧排除结核病或其他肉芽肿性疾病。以上8项中,①、②、③为主要条件,其他为次要条件。本例患者胸部影像学检查显示双侧肺门及纵隔淋巴结肿大,双肺间质改变;淋巴结活检显示非干酪性坏死性肉芽肿,且抗酸染色阴性;SACE活性增高,且有高血钙,符合结节病的诊断。

图12 典型的结节病影像学特点
胸部CT显示,结节病Ⅱ期表现为淋巴结病和肺实质病变
引自:呼吸系统疑难病例诊疗辨析.第1版.ISBN:978-7-117-26415-0.主编:
3.如何鉴别诊断结核病和结节病?
结核病与结节病在(尤其是不典型结核病)临床中容易混淆。二者区别主要有以下几项:①结节病临床表现不典型,50%以上患者无症状,早期可出现干咳、乏力、发热,晚期可出现气短,皮肤表现为红斑结节;结核病常见临床表现为低热、乏力、盗汗等全身中毒症状。②结节病可多系统、多器官受累;结核病一般累及单个系统。③结节病胸部CT常提示双侧肺门淋巴结对称性肿大;结核病胸部CT表现为少部分淋巴结肿大,而且以单侧肿大为主。④结节病结核菌素试验阳性率<1/3;结核病结核菌素试验几乎持续阳性。⑤结节病ACE常升高。⑥结节病病理表现为非干酪坏死肉芽肿;结核病病理表现为干酪性坏死肉芽肿。⑦部分结节病患者有自愈倾向,部分疾病进展患者需要糖皮质激素治疗;结核病则需要给予抗结核药物治疗。
(一)临床信息
【治疗过程】
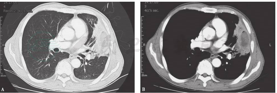
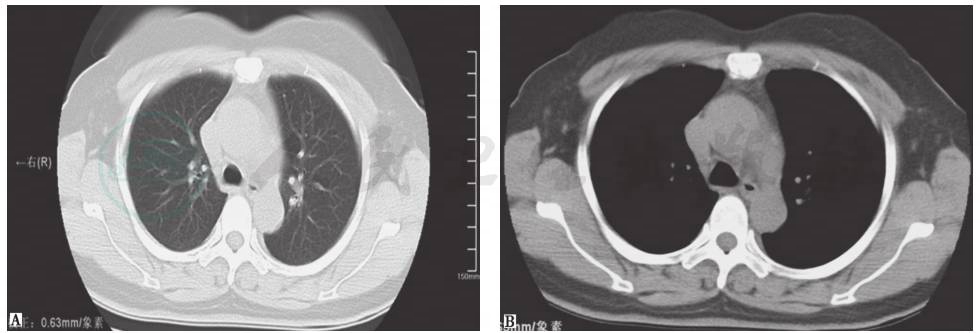
结合患者病史、临床表现及各项检查结果,本病例结核性胸膜炎诊断明确,并且考虑合并结节病。治疗方案采取异烟肼(isoniazid,INH)0.3g(每天1次)、利福平(rifampicin,RFP)0.45g(每天1次)、乙胺丁醇(ethambutol,EMB)0.75g(每天1次)、吡嗪酰胺(pyrazinamide,PZA)0.5g(每天3次)抗结核,同时给予激素治疗。患者症状缓解,出院后亦无不适主诉,坚持2HRZE/10HRE方案抗结核治疗,胸腔积液逐渐吸收。7周后复查胸部CT,发现纵隔淋巴结明显缩小(图13)。正规治疗1年后,患者停药,胸部CT提示纵隔肺门未见明显肿大淋巴结(图14)。

图13 治疗7周后复查胸部CT表现
胸部CT显示纵隔淋巴结明显缩小,胸腔积液明显吸收
引自:呼吸系统疑难病例诊疗辨析.第1版.ISBN:978-7-117-26415-0.主编:

图14 治疗1年后复查胸部CT表现
引自:呼吸系统疑难病例诊疗辨析.第1版.ISBN:978-7-117-26415-0.主编:
最后诊断:结核性胸膜炎合并结节病。
(二)临床思辨
本病例胸腔镜下可见右胸壁层胸膜多发结节,病理表现为凝固性坏死,胸腔积液抗酸染色阳性,可以明确结核性胸膜炎诊断。同时,患者胸部影像学检查显示双侧肺门及纵隔淋巴结肿大,双肺间质改变;淋巴结活检为非干酪性坏死性肉芽肿,且抗酸染色阴性;SACE活性增高,且有高血钙,符合结节病的诊断。用任何单一的诊断都不能解释患者的病变特点,所以考虑两种疾病同时存在。经过治疗,患者胸腔积液完全吸收,纵隔肿大淋巴结明显减小,临床治疗效果确实。国内外均有结核病合并结节病的报道。刘鸿瑞和刘彤华报道,8%结节病合并结核病。Kostina等报道,约0.63%结节病患者同时患有结核,包括局灶性肺结核、播散性肺结核以及浸润性肺结核。
结核病一般累及单个器官,典型的病理学变化是形成干酪性上皮样肉芽肿,病因是结核分枝杆菌感染。结节病是一种多系统、多器官受累的疾病,最常累及肺,病理表现以形成非干酪性上皮样肉芽肿为特征,病因至今不明。结核病合并结节病在临床上比较罕见,需要仔细甄别,以免发生漏诊和误诊。
(董淑丽 梅早仙 侯志丽)
1.Darry IC,Joel KG,Harold AO,et al.Steinbeg's diagnostic surgical pathology.4th ed.Philadelphia :Lippineott Williiams & Wilkins,2004.
2.Diacon AH,Van de Wal BW,Wyser C,et al.Diagnostic tools in tuberculosis pleurisy :a direct comparative study.Eur Respir J,2003,22:589-591.
3.王臻,童朝晖,李红杰,等.局部麻醉下可弯曲电子胸腔镜检查在结核性胸膜炎诊断中的价值.中国内镜杂志,2008,14(5):557-558.
4.马卫霞,张敏,张才擎,等.内科胸腔镜在结核性胸膜炎中的诊断价值.中华临床医师杂志,2011,5(10):3078-3080.
5.孙永昌,姚婉贞,沈宁,等.结节病胸膜病变分析并文献复习.中华结核和呼吸杂志,2006,4(29):243-246.



