青年女性,慢性病程。
以头晕、头痛、视力下降和血小板减少为主要临床表现。
辅助检查提示磷脂抗体阳性,双侧颈内动脉远端大脑中动脉和大脑前动脉近端闭塞,代之以烟雾状细小血管。
患者,女,17岁,主因“头晕、头痛、视力下降、血小板减少3个月”入院。
患者3个月前无明显诱因出现头晕、头痛、恶心、喷射样呕吐、耳鸣、视物模糊和双下肢多发散在出血点,当地医院查血小板减少,最低降至19×109/L,头颅CT示蛛网膜下腔出血(图1),诊断为“特发性血小板减少、蛛网膜下腔出血,眼底出血”,予静脉用丙种球蛋白、激素冲击、止血、补充血小板、脱水降颅压及营养神经等对症治疗,患者头晕、头痛症状有所缓解,仍视物不清,右眼视力为0.05,左眼仅视手指移动。

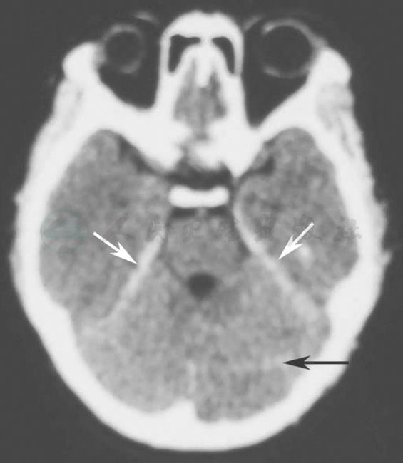
图1 头颅CT示蛛网膜下腔出血
黑色箭头指示左侧小脑半球,白色箭头指示双侧小脑幕,均为高密度影,考虑存在蛛网膜下腔出血
引自:风湿免疫性疾病疑难病例解析.第1版.ISBN:978-7-117-28376-2.主编:
生命体征平稳,双下肢多发散在瘀斑,全身浅表淋巴结未触及肿大,心肺腹部查体未见明显异常。关节无压痛、肿胀,屈伸活动无受限。双上肢及双下肢粗细不等,右上臂周径22cm,左上臂周径24cm,右膝上10cm周径38cm,左膝上10cm周径40cm,四肢皮肤温度正常,无可凹性水肿,病理征及脑膜刺激征未引出。
血常规示白细胞4.53×109/L,血红蛋白118g/L,血小板45×109/L。凝血分析:活化部分凝血时间(APTT)56.1秒,D-二聚体(D-dimer)61ng/ml。C3 0.573g/L,C4 0.130g/L,ASO 319.0IU/ml,ANA 1∶80,抗心磷脂抗体(ACA)12.3RU/ml,β2-GPI 30.46RU/ml,狼疮抗凝血因子试验1.70(正常值<1.2),ANA、抗ENA均阴性,抗dsDNA、抗Smith及抗mDNA等抗体阴性。骨髓穿刺示骨髓增生活跃,巨核细胞成熟障碍,血小板少。
颈动脉CT示双侧颈动脉重度狭窄,颅内椎体动脉侧支循环大量形成;头颅磁共振示蛛网膜下腔出血(图2);检眼镜示左眼视网膜中央静脉阻塞;荧光素眼底造影术(FFA)示视神经萎缩;数字减影血管造影(DSA)示双侧颈内动脉远端大脑中动脉和大脑前动脉近端闭塞,代之以烟雾状细小血管(图3),双侧颈总动脉及颈外动脉通畅。

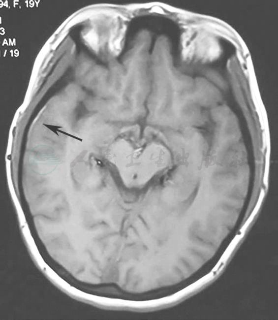
图2 头颅磁共振
黑色箭头指示T1序列右侧颞叶边缘高信号,可疑蛛网膜下腔出血
引自:风湿免疫性疾病疑难病例解析.第1版.ISBN:978-7-117-28376-2.主编:

图3 数字减影血管造影(DSA)示烟雾病血管改变
黑色箭头指示左右颈内动脉远端大脑中动脉和大脑前动脉近端闭塞,代之以烟雾状细小血管
引自:风湿免疫性疾病疑难病例解析.第1版.ISBN:978-7-117-28376-2.主编:
1.抗磷脂综合征
2.烟雾病
给予患者甲泼尼龙40mg qd静脉滴注抗炎,达那唑200mg bid、氨肽素1000mg tid口服升血小板,阿司匹林肠溶片(拜阿司匹灵)100mg qd抗血小板,尼莫地平30mg tid扩张脑血管,甲钴胺500μg tid营养神经等治疗,后激素序贯为口服并缓慢减量,3个月后复查患者血小板升至正常,抗心磷脂抗体转阴,β2-GPI 32.73RU/ml,狼疮抗凝血因子试验降至1.36,视力改善,右眼0.25,左眼0.04。
随访半年,血象恢复正常,无出血表现。
抗磷脂综合征(antiphospholipid syndrome,APS)是一种非炎症性自身免疫性疾病,临床上以动脉、静脉血栓形成、习惯性流产和血小板减少等症状为表现,血清中存在抗磷脂抗体,上述症状可以单独或多个共同存在。确诊抗磷脂抗体须2次阳性,时间间隔>12周。本例患儿病程中出现左眼视网膜中央静脉血栓,血小板减少,狼疮抗凝因子、抗β2-GPI 2次化验均阳性,时间间隔超过12周,考虑抗磷脂综合征诊断成立。
烟雾病(moyamoya disease,MMD)是一种病因不明的慢性进行性的脑血管闭塞性疾病,主要表现为颈内动脉、远端大脑中动脉和大脑前动脉近端狭窄或闭塞伴脑底部和软脑膜烟雾状、细小血管形成。烟雾病尚无确定病因,目前认为与遗传学、免疫机制异常、吸烟、使用口服避孕药等多种因素相关。文献报道男女比例1∶1.8,起病年龄有两个高峰,分别为10岁左右和40岁左右。对于儿童及青少年的烟雾病常见的临床表现为短暂性脑缺血发作和缺血性卒中,可出现构音困难、失语、偏瘫等定位体征,也可出现晕厥、不自主运动等症状,出血等表现更常出现于成人MMD患者。
若MMD合并自身免疫性疾病、动脉硬化、脑膜炎、脑肿瘤、头部外伤史或放射史,则称为烟雾综合征。烟雾病合并抗磷脂综合征发病机制尚不明确。针对抗磷脂综合征,研究发现β2-GPI是抗磷脂抗体的主要靶抗原。β2-GPI是肝细胞产生的存在于血浆中的一种糖蛋白,位于磷脂结合位点和抗磷脂抗体结合区,是两者结合必需的辅助因子。β2-GPI通过多个环节参与凝血及纤溶过程,具有抗凝和促凝活性。目前认为抗磷脂抗体可能是通过中和β2-GPI的抗凝作用而诱发血栓形成。烟雾病血管病变造成内皮细胞受损,细胞膜表面的磷脂成分暴露,从而诱发抗磷脂抗体产生,继而出现血栓形成等现象。另一方面,也有研究认为抗磷脂综合征中反复的血栓形成及血管狭窄可继发性地引起血管烟雾病样改变。
抗磷脂综合征合并烟雾病在国内外少见报道,常为个案报道。经查阅文献,目前外文报道共8例,仅有2例以颅内出血为表现。可查阅到全文的3例患者中,2例为儿童,1例为成年女性。3例患者均出现偏侧肢体活动不利,认知功能及定向力基本正常,抗心磷脂抗体不同程度升高,脑部影像学均为缺血表现,其中1例患儿还合并Noonan综合征。3例患者对抗血小板或抗凝治疗反应较好。随访1~2年,相较于单纯烟雾病患者,3例患者狭窄血管的血流改善程度更为显著。
烟雾病治疗可分为内科治疗及外科治疗。内科治疗主要包括在脑出血或缺血急性期,予甘露醇等改善脑水肿、降颅压治疗。若以缺血为主要表现,可同时予抗血小板、改善微循环等治疗。目前认为仅内科保守治疗,未成年患者功能及智力发育均较差,外科手术仍是烟雾病治疗的主要手段,目前以血管重建术为主。烟雾病与抗磷脂综合征在治疗方面存在矛盾。对于抗磷脂综合征,为了避免反复的血栓形成及血管病变进展,通常推荐预防性的抗凝或抗血小板治疗,认为抗凝或抗血小板治疗可抑制反复血栓形成造成的血管损害,可使血液黏滞度降低,从而改善侧支循环。然而,对于烟雾病患者,上述治疗方案会增加血管破裂的风险。基于烟雾病患者血管状况较差,对于烟雾病合并抗磷脂综合征患者目前首选抗血小板治疗。本例患者确诊后应用阿司匹林肠溶片(拜阿司匹灵)100mg qd抗血小板治疗,尚未有新发出血或卒中现象,随访半年,患者未再出现出血等症状。
本例启示
抗磷脂综合征可合并烟雾病。
烟雾病合并抗磷脂综合征患者目前首选抗血小板治疗。
(李春)



