中青年女性,慢性病程。
以反复剧烈头痛及下肢疼痛为主要临床表现。
辅助检查提示尿潜血阳性、ESR及CRP升高、多种自身抗体均阴性、脑脊液IgG合成率及髓鞘碱性蛋白升高、腔隙性脑梗死、颅内血管多发狭窄、下肢血管周围炎性病变及周围神经病变。
激素联合免疫抑制剂治疗有效,激素减量过程中多次复发,出现糖皮质激素相关的诸多不良反应,包括高血压、糖尿病、白内障和肝功能损伤,后经肝脏穿刺证实为肝细胞脂肪变性。
患者,女,44岁,主因“间断头痛3年,双下肢疼痛2年,加重2个月”于2013年8月25日入院。
患者3年前无诱因出现头痛,为左顶部搏动性疼痛,每天发作,未在意。2年前无诱因出现双小腿肿胀、肌痛,左侧小腿内侧可触及“鸡蛋大小”肿物,质硬,有压痛,活动度可,无皮肤发红及皮温升高,病理活检提示“腓肠肌炎”,未予治疗。
1年前患者洗澡时出现持物不稳、失语、视物变形,次日自行恢复,颅内动脉磁共振提示动脉多发狭窄,头颅磁共振见右侧岛叶腔隙性脑梗死,顶叶交界处亚急性脑梗死伴少许脑出血可能,脑脊液IgG鞘内合成率及髓鞘碱性白蛋白升高,诊为“后循环缺血、急性脑梗死、颅内多动脉狭窄、血管炎”,予甲泼尼龙240mg qd×3d→120mg qd×3d静脉冲击及吗替麦考酚酯750mg bid口服治疗,头痛、视物模糊及小腿肿痛好转,左侧小腿肿痛逐渐消失。后序贯口服糖皮质激素+吗替麦考酚酯治疗。
2个月来患者反复于激素减量后(减至泼尼松35~50mg qd)出现头痛及小腿肿痛,加量后缓解。将吗替麦考酚酯换为环磷酰胺400~600mg q2w,6天前累计剂量4400mg,仍于激素减至45mg时出现头痛及双小腿疼痛加重。
既往史、个人史及家族史无特殊。
生命体征平稳,双上肢血压140/100mmHg。满月脸,水牛背,心肺腹查体未及异常。双侧踝关节内侧、小腿后侧可见色素沉积。双侧腓肠肌压痛。神经系统查体未见异常。
血常规:Hb 103g/L,MCV 78.3fL,MCH 26.3pg,MCHC 336g/L。尿常规:红细胞:29/μl,潜血(+)。肝、肾功能正常。
免疫相关:C反应蛋白43.4mg/L,红细胞沉降率23mm/h,免疫球蛋白及补体正常;ANA、ANCA、抗dsDNA抗体及抗ENA抗体均阴性。
四肢动脉B超(2013年8月25日):未见明显异常。
TCD(2013年8月28日):左侧大脑中动脉、颈内动脉终末段、大脑前动脉中~重度狭窄,左侧大脑后动脉高流速高代偿,右侧大脑中动脉、颈内动脉终末段和大脑前动脉高流速。
MRA(2013年8月31日):左侧大脑中动脉管腔中~重度狭窄,远段分支减少。双侧大脑后动脉管腔中~重度狭窄,血供主要来自双侧颈内动脉系统。双侧椎动脉远段及基底动脉细小,管腔重度狭窄或闭塞。右侧大脑前动脉中段局限性中~重度狭窄可能。
MRI(2013年9月9日):右侧岛叶腔隙性脑梗死(急性~亚急性期),右侧顶叶交界处异常信号灶,考虑亚急性脑梗死伴少许脑出血不除外。
头颅CTA(2014年6月6日):右顶枕叶交界处、双侧基底节区及半卵圆中心多发腔隙灶及软化灶。颅内动脉多发硬化表现,管腔多发狭窄,左侧大脑中动脉水平段重度狭窄伴周围多发侧支循环形成,符合血管炎表现。
腓肠神经病理(2014年6月):轻度髓鞘性周围神经病变伴随血管周围炎性病变。
1.系统性血管炎
2.结节性多动脉炎
3.颅内动脉炎
入院后予甲泼尼龙40mg qd静脉滴注,并予利妥昔单抗200mg输注,患者头痛及双小腿肌痛均减轻。但输注利妥昔单抗过程中出现输液反应,表现为发热、寒战、血压下降,患者拒绝再次输注,遂继续予醋酸泼尼松50mg口服,并联合吗替麦考酚酯500mg qd和环磷酰胺400mg qm治疗,因肝酶(ALT、AST、GGT)反复升高,肝脏穿刺提示非酒精性脂肪肝,肝病科会诊考虑其与糖皮质激素和免疫抑制剂导致的肝细胞变性有关,建议激素减量并加用保肝药物,但患者在激素减量过程中反复头痛,再次住院。
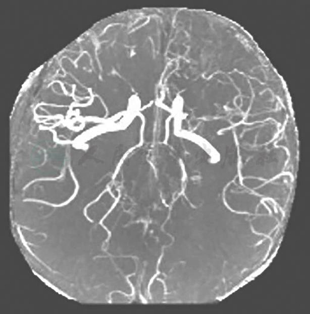
复查CRP、ESR较前上升,头颅MRA(图1)提示血管病变较前加重,考虑病情活动,建议应用TNF-α抑制剂,有助于控制病情发展并协助激素减量,患者及家属拒绝,遂予甲泼尼龙500mg×3d冲击治疗,后加强免疫抑制剂治疗,方案调整为醋酸泼尼松50mg qd+环磷酰胺600mg q2w+吗替麦考酚酯1750mg每天分为两次口服,并辅以降压、降糖、保肝等治疗,出院后患者糖皮质激素仍难以减量至35mg qd以下,减量后会再发头痛及下肢疼痛,伴有红细胞沉降率及CRP升高。

图1 头颅MRA(2015年12月)
左侧大脑中动脉中、重度狭窄或闭塞;双侧大脑前动脉、右侧大脑中动脉、基底动脉及双侧椎动脉、双侧大脑后动脉多发节段性管腔狭窄
引自:风湿免疫性疾病疑难病例解析.第1版.ISBN:978-7-117-28376-2.主编:
治疗过程中出现其他糖皮质激素相关不良反应包括白内障、血糖升高,多次门诊随访建议应用生物制剂,但患者及家属鉴于经济原因不愿意使用。
患者为青年女性,以头痛、下肢痛为主要表现,化验示轻度贫血、镜下血尿、ESR及CRP升高,影像学提示腔隙性脑梗死、颅内血管多发狭窄,腓肠肌活检提示下肢血管周围炎性病变及周围神经病变,糖皮质激素及免疫抑制剂治疗有效,符合系统性血管炎。虽患者主要受累血管为颅内中等动脉,但因为患者同时有下肢血管受累并伴有周围神经病变,并不能诊断为中枢血管炎,结合抗中性粒细胞胞质抗体阴性,考虑结节性多动脉炎的可能。
颅内血管病变是影响该患者生活质量和预后情况的主要因素。目前认为中枢神经系统血管炎可分为原发和继发两大类。原发性中枢神经系统血管炎(PCNSV)为孤立的脑血管炎,而继发性中枢神经系统血管炎(SCNSV)则存在自身免疫性疾病、感染、淋巴增殖性疾病和药物等继发因素。系统性血管炎是常见的继发因素。文献报道,10%的结节性多动脉炎患者出现脑梗死或脑出血。PCNSV和继发于自身免疫性疾病的SCNSV的临床特征及治疗方案相似。临床表现包括局灶型和弥漫型两大类,其中头痛是最常见的临床表现,其他表现包括卒中、癫痫及痴呆等。实验室检查方面,脑脊液分析对除外感染、肿瘤因素至关重要,可出现细胞数和蛋白含量轻度升高、葡萄糖含量正常,偶见寡克隆区带及IgG合成增加。由于病理活检难于实现,最推荐的实验室检查方法是MRI或CT血管造影,表现为双侧或交替性狭窄或阻塞,少数出现动脉瘤样扩张或者伴有念珠样改变的狭窄,但不具诊断特异性。此外,常规MRI也可能观察到多发脑梗死或出血征象。
治疗上,诱导治疗阶段应用糖皮质激素和环磷酰胺,重症患者可用糖皮质激素冲击治疗;维持治疗阶段可将激素及环磷酰胺减量,也可换用硫唑嘌呤或吗替麦考酚酯。本例患者在治疗过程中出现多次复发,小样本研究报道,在接受糖皮质激素联合环磷酰胺治疗的患者中,SCNSV的复发率高于PCNSV。尽管糖皮质激素的治疗至关重要,但不良反应多,该患者在治疗过程中出现了糖皮质激素相关的不良反应,包括高血压、糖尿病和白内障。此外,患者在长期使用糖皮质激素和免疫抑制剂(吗替麦考酚酯和环磷酰胺)后出现肝损伤,经化验基本除外病毒性肝损伤,考虑为药物性肝损伤或自身免疫性肝损伤可能性大,后经肝脏穿刺证实为脂肪变性,主要考虑与糖皮质激素有关。因此,糖皮质激素的减量至关重要,但减量过程中应继续使用免疫抑制剂或生物制剂,以助激素减量,减少复发。此前有多篇个案报道生物制剂利妥昔单抗、TNF-α抑制剂等对难治性系统性血管炎有效,但本病例在治疗过程中,由于经济原因未能继续使用生物制剂。
本例启示
系统性血管炎患者易出现中枢神经系统受累,头痛为最常见表现,临床上需引起重视。
中枢神经系统血管炎的最有效无创检查手段是磁共振或CT血管造影。
对于累及中枢神经系统的系统性血管炎,即使难以获得准确的分类诊断,也要尽早积极治疗。
对于难治性患者,生物制剂可能有效。
(李雪 姚海红)



