作者:王明霞(主治医师 福建省立医院消化内科)
黄胡萍(副主任医师 福建省立医院消化内科)
1.自身免疫性疾病通常是相互关联的(5%~10%的病例)。一些患者可同时或顺时出现自身免疫性肝炎和自身免疫性胆管病变。IgG4相关性疾病是近年逐渐被认识的一种慢性自身免疫性疾病,最早报道累及胰腺,后来陆续发现该病可累及胆管、胆囊、肝脏、后腹膜、纵隔、肾脏、肺脏、胃肠等多种器官。
2.IgG4相关性胆管炎是新近发现的病因不明的胆管疾病,其生化和胆道造影表现类似PSC。常累及肝外胆管。患者可有梗阻性黄疸的表现,如乏力、黄疸、瘙痒、体重减轻等。糖皮质激素治疗有效,常伴发自身免疫性胰腺炎以及其他纤维化疾病,血清IgG4水平升高和胆管内及肝组织IgG4阳性浆细胞浸润是其特征性表现。
3.所有胆管狭窄的病例均应考虑到IgG4相关性胆管炎的可能性,而对于所有IgG4相关性胆管炎的病例则应警惕恶性肿瘤、PSC和系统性硬化症的可能。因此,应常规行胆道相关的影像学检查及肝功能、血清IgG4、血清相关自身抗体等检测,结合影像学表现与实验室检查结果做出正确的诊断。
4.IgG4相关性胆管炎的诊断标准
(1) 胆道影像学检查显示肝内外胆管弥漫性或节段性狭窄伴胆管壁增厚。
(2) 血清学检测提示血清IgG4水平升高(≥135mg/dL)。
(3) 合并自身免疫性胰腺炎,或IgG4相关性泪腺炎/唾液腺炎,或IgG4相关性腹膜后纤维化。
(4) 组织病理学检查提示:①明显的淋巴细胞或浆细胞浸润和纤维化;②IgG4阳性浆细胞浸润,>10个IgG4阳性浆细胞/高倍镜视野;③席纹状纤维化;④闭塞性静脉炎。
(5) 激素治疗有效。
满足以下条件可确诊:(1)+(3)或(1)+(2)+[(4)①、②]或[(4)①②③]或[(4)①②④]。满足以下条件为可能诊断:(1)+(2)+(5)。满足以下条件为疑似诊断:(1)+(2)。除此之外,还需要排除PSC、胰腺癌及胆管癌等恶性肿瘤,以及其他有明确病因造成的继发性硬化性胆管炎。
5.IgG4相关性胆管炎对糖皮质激素治疗敏感,但当病变累及多个器官时缓解率相对较低,复发率较高。目前认为糖皮质激素治疗是该病诱导缓解的一线治疗方案。除非存在糖皮质激素治疗禁忌证,多数文献推荐泼尼松龙起始剂量0.6mg/(kg·d)诱导缓解,病情缓解后逐渐减量,建议长期低剂量激素维持治疗,即5mg/d,维持2~3年,可有效降低复发风险。当患者存在无法耐受大剂量糖皮质激素或糖皮质激素治疗的禁忌证时,也可联合应用免疫抑制药,包括硫唑嘌呤、6-巯基嘌呤、霉酚酸酯等。
6.自身免疫性肝炎重叠IgG4相关性胆管炎罕见报道,两种疾病都对激素及免疫抑制药治疗有效,但长期用药需考虑药物不良反应,如何预防疾病复发也都是需要进一步探讨的问题。
1.患者基本情况
患者:女性,70岁,汉族,已婚,福建人。
入院时间:2019年12月25日。
主诉:尿黄2个月,眼黄、皮肤黄15d。
现病史:患者自诉2个月前无明显诱因出现尿黄,无泡沫尿,无尿频、尿急,无腹痛、腹胀等不适,初未诊治。15d前无明显诱因出现眼黄、皮肤黄,伴厌油腻感、食欲减退,进食量约为平素2/3,无皮肤瘙痒,无恶心、呕吐、腹胀等不适,于4d前就诊某院查生化:总胆红素50μmol/L,直接胆红素30.1μmol/L,间接胆红素 19.9μmol/L,白蛋白 35g/L,球蛋白59.1g/L,谷丙转氨酶(GPT)605U/L,谷草转氨酶759U/L,γ-谷氨酰基转移酶821U/L。乙型肝炎检查中HBsAb和HBeAb阳性,其余阴性。为进一步诊治入本院,全腹彩超检查示胆囊回声异常,考虑胆囊萎缩可能。
既往史:既往有“子宫肌瘤、痔疮切除术”病史。1个月余前于外院行种植牙后口服“布洛芬3d”“甲硝唑5d”。否认肝炎、结核或其他传染病史,否认高血压、糖尿病等慢性病史。
个人史:否认药物、食物过敏史,否认吸烟、饮酒史,否认滥用药物史,否认其他手术史,否认输血史。
家族史:1个妹妹因“肺癌”过世。否认家族相关疾病史,否认高血压、糖尿病、血友病等遗传或遗传倾向疾病史。家族中无类似疾病患者。
2.入院查体
一般生命体征:T 36.0℃,P 78次/min,R 18次/min,BP 137/76mmHg。神志清楚,查体配合。全身皮肤黏膜黄染,双侧巩膜黄染,未见肝掌及蜘蛛痣。心肺未见异常。腹平软,全腹无压痛、反跳痛,肝脾肋下未触及,肝区无叩击痛,移动性浊音阴性,肠鸣音4次/min,双下肢无水肿。
3.入院辅助检查
生化:总胆红素50μmol/L,直接胆红素30.1μmol/L,间接胆红素 19.9μmol/L,白蛋白35g/L,球蛋白59.1g/L,谷丙转氨酶605U/L,谷草转氨酶759U/L,γ-谷氨酰基转移酶821U/L。乙型肝炎检查中HBsAb和HBeAb阳性,其余阴性。血常规:血红蛋白129g/L。全腹彩超:胆囊回声异常,考虑胆囊萎缩可能。
4.初步诊断思路过程
(1)入院时病情总结
老年女性患者,因“尿黄2个月,眼黄、皮肤黄15d”入院,查体:全身皮肤黄染,双侧巩膜黄染,全腹无压痛、反跳痛,实验室检查生化全套显示:胆红素较前明显升高,以直接胆红素升高为主,谷丙转氨酶、谷草转氨酶、γ-谷氨酰基转移酶均明显升高,球蛋白明显升高;全腹彩超检查未见肝脏明显异常。
(2)入院时诊断思路
患者以眼黄、尿黄、皮肤黄入院,近期食欲明显减退,外院生化检查提示胆红素、转氨酶、胆酶水平升高,彩超肝脏未见异常、胆管无扩张,考虑“黄疸、肝功能异常原因待查”。患者转氨酶水平明显升高,全腹彩超检查未见肝脏明显异常,否认既往有病毒性肝炎病史,暂不能明确有无急性病毒性肝炎,进一步完善相关病毒性肝炎抗体检查协诊。患者在1个月余前有服用“甲硝唑、布洛芬”药物史,需警惕急性药物性肝损伤可能,但药物性肝损害为排他性诊断,需进一步排查其他疾病。自身免疫性肝炎可有血清转氨酶水平不同程度升高,血清IgG水平显著升高,血清抗核抗体、抗平滑肌抗体等自身抗体阳性,但早期胆红素多正常;原发性胆汁性胆管炎是一种慢性肝内胆汁淤积性疾病,病变以小叶间胆管和小胆管为主,可有皮肤瘙痒,肝功能以总胆红素、直接胆红素升高为主,血清IgM显著升高,抗线粒体抗体(anti-mitochondrial antibody,AMA)-M2是诊断原发性胆汁性胆管炎(primary biliary cholangitis,PBC)的特异性指标,但原发性胆汁性胆管炎患者的谷丙转氨酶和谷草转氨酶通常为正常或轻至中度升高;原发性硬化性胆管炎主要表现为肝内外胆管多灶性、节段性狭窄。结合患者外院生化检查提示胆红素、转氨酶、胆酶及球蛋白水平升高,需警惕自身免疫性肝病可能,完善自身免疫性抗体、IgG4、MRCP等检查以协助诊断。
(3)入院初步诊断
①黄疸、肝功能异常原因待查:病毒性肝炎?药物性肝损伤?自身免疫性肝病?②胆囊萎缩可能;③子宫肌瘤;④痔疮术后。
5.后续检查
2019-12-26血常规:白细胞计数4.6×109/L,红细胞计数3.72×1012/L,血红蛋白120g/L,血小板计数176×109/L。血生化:白蛋白32g/L,球蛋白56g/L,总胆红素130.3μmol/L,直接胆红素117.7μmol/L,谷丙转氨酶 540U/L,谷草转氨酶677U/L,γ-谷氨酰转移酶744U/L,碱性磷酸酶273U/L。乙型肝炎检查中HBsAb、HBeAb和HBcAb阳性。IgG 34.4g/L,IgM 2.92g/L,IgG4 3.88g/L。红细胞沉降率(血沉)44mm/h,C反应蛋白13.9mg/L,铜蓝蛋白0.33g/L。TORCH[弓形虫(toxoplasma),其他病原微生物(others),风疹病毒(rubella. virus),巨细胞病毒(cytomegalo. virus),单纯疱疹(herpes. virus)]:风疹病毒抗体 IgG(+),风疹病毒抗体IgM(+),巨细胞病毒抗体IgG(+),单纯疱疹病毒抗体Ⅰ型IgG(+)。血氨50.7μmol/L。自身抗体:抗核抗体1∶1000阳性,均质型,阳性,抗组蛋白,阳性,余阴性。自身免疫肝病全套:均阴性。凝血全套:凝血酶时间21.7s,D-二聚体0.68mg/L。丙型肝炎抗体、甲型肝炎抗体、戊型肝炎抗体阴性。
2020-01-02肝功能:总蛋白86g/L,白蛋白30g/L,球蛋白56g/L,总胆红素208.64μmol/L,直接胆红素118.3μmol/L,间接胆红素90.3μmol/L,谷丙转氨酶 111U/L,谷草转氨酶590U/L,γ-谷氨酰转移酶772U/L,碱性磷酸酶293.2U/L,总胆汁酸145.3μmol/L。
2020-01-06肝功能:总蛋白87g/L,白蛋白30g/L,球蛋白57g/L,总胆红素143.83μmol/L,直接胆红素77.5μmol/L,间接胆红素66.3μmol/L,谷丙转氨酶 76U/L,谷草转氨酶364U/L,γ-谷氨酰转移酶678U/L,碱性磷酸酶239.2U/L,总胆汁酸41.4μmol/L。
2020-01-10肝功能:总蛋白85g/L,白蛋白32g/L,球蛋白53g/L,总胆红素82.90μmol/L,直接胆红素79.0μmol/L,间接胆红素3.9μmol/L,谷丙转氨酶79U/L,谷草转氨酶158U/L,γ-谷氨酰转移酶612U/L,碱性磷酸酶161.0U/L。
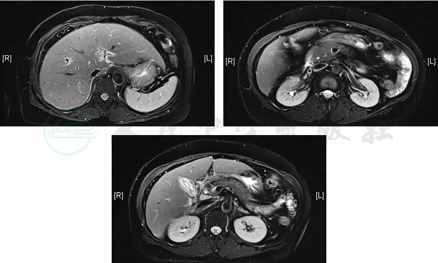
2019-12-27肝脏MRI平扫+增强+MRCP(图1):肝稍大且信号不均匀,炎性病变所致可能;急性胆囊炎,肝内外胆管及胰管未见明显异常;胰腺头部及尾部稍饱满;扫描野右肾双肾盂双输尿管重复畸形。骨髓片检查:浆细胞比例升高,形态无异常。

图1 MRCP
2020-01-02肝穿刺活检病理报告:(肝穿刺组织)重度慢性肝炎伴胆管上皮损伤。镜下见重度肝小叶炎,重度浆细胞界面炎伴桥接坏死形成,部分区域小叶内纤维间隔形成,可见胆管上皮炎、胆管上皮萎缩,免疫组化显示IgG4阳性浆细胞>10个/HPF,结合临床病史考虑自身免疫性肝炎(autoimmune hepatitis,AIH)重叠IgG4相关硬化性胆管炎。
唇腺活检病理报告:(唇腺)送检涎腺组织,间质见多个数量不等的淋巴细胞聚集灶,其中明显3处淋巴细胞数>50个,免疫组化检测显示IgG阳性细胞最多38个/HPF,IgG4阳性细胞最多7个/HPF,请结合临床。免疫组化:Ki-67(2%阳性)、CD38(浆细胞+)、CD138(浆细胞 +)、IgG(浆细胞散在 +)、IgG4(浆细胞散在 +)。
6.最终诊疗思维过程
(1)最终诊断思路
AIH可发生于各个年龄段,患者多为年轻人或中年人,约20%患者在60岁以后发生AIH。大多数(60%~75%)患者为女性。IgG4相关性胆管炎主要以血清IgG4水平升高、胆管壁密集浸润IgG4阳性的浆细胞为特征,多因梗阻性黄疸就诊,大部分可无明显腹痛。该患者已停药月余,予多种保肝药联用,黄疸未见改善,可排除急性药物性肝损伤致肝功能异常及黄疸;予完善多种病毒性肝炎抗体检查均阴性,可排除急性病毒性肝炎致肝损害及黄疸可能。病程中多次复查生化提示胆红素升高,以直接胆红素升高为主,黄疸进展较快、GPT、GOT、GGT明显升高,伴高免疫球蛋白血症,IgG4升高,MRCP提示肝稍大,肝内外胆管未见明显异常,因此提示黄疸考虑为肝内胆汁淤积所致,黄疸、肝功能异常原因考虑可能并非一种疾病所致,考虑IgG4相关性胆管炎合并其他自身免疫性肝病的可能性大。同时完善骨髓涂片,提示浆细胞比例增高(浆细胞形态正常),基本可排除多发性骨髓瘤。因该患者黄疸进展较快,且结合当前检查考虑自身免疫性肝病,病程中甲泼尼龙40mg 1次/d治疗,治疗效果明显,复查肝功能好转,胆红素明显下降。完善肝穿刺活检,病理证实为自身免疫性肝炎(AIH)重叠IgG4相关硬化性胆管炎。另外唇腺活检提示唇腺三处淋巴细胞数>50个,考虑干燥综合征可能。
(2)鉴别诊断
原发性胆汁性胆管炎(primary biliary cholangitis,PBC)、原发性硬化性胆管炎(primary sclerosing cholangitis,PSC)、病毒性肝炎、胆管癌。
(3)最终诊断
①自身免疫性肝炎重叠IgG4相关性胆管炎;②干燥综合征可能;③急性胆囊炎;④子宫肌瘤;⑤痔疮术后。
治疗方案:甲泼尼龙40mg 1次/d静脉滴注1周后,改甲泼尼龙(美卓乐)口服并逐渐减量,予丁二磺酸腺苷蛋氨酸(思美泰)保肝退黄、熊去氧胆酸(优思弗)利胆、双环醇保肝治疗。
7.后续随访
出院后1个月,患者黄疸完全消退,无不适。复查肝功能正常。追问病史,患者有口干、眼干、龋齿,ANA阳性,眼科会诊诊断为干眼症,唇腺活检提示多灶淋巴细胞聚集,就诊风湿免疫科,诊断为干燥综合征,予甲泼尼龙联合硫酸羟氯喹治疗。后续还在进一步随访。
2020-02-15肝功能:总蛋白66g/L,白蛋白33g/L,球蛋白33g/L,总胆红素17.30μmol/L,直接胆红素11.4μmol/L,间接胆红素5.9μmol/L,谷丙转氨酶 17U/L,谷草转氨酶21U/L,γ-谷氨酰转移酶56U/L,碱性磷酸酶56U/L。
1.IgG4相关性胆管炎发病率较低,临床病例比较少见,临床症状及影像学特征与原发性硬化性胆管炎、胆管癌等较为类似,临床中可能存在误诊。
2.自身免疫性疾病通常会累及多个脏器,对于临床表现、辅助检查把握不当及经验不足者,常常会漏诊或过度治疗。
3.自身免疫性肝炎重叠IgG4相关性胆管炎罕见报道,最终要依靠肝脏活检病理确诊。
[1]BOBERG KM,CHAPMAN RW,HIRSCHFIELD GM,et al.Overlap syndromes:the International Autoimmune Hepatitis Group(IAIHG)position statement on a controversial issue[J].J Hepatol,2011,54(2):374-385.
[2]LI ZF,FAN HJ,SUN LJ,et al.Advances in research of immunoglobulin G4-related sclerosing cholangitis[J].Shijie Huaren Xiaohua Zazhi,2016,24(30):4156-4161.
[3]OHARA H,OKAZAKI K,TSUBOUCHI H,et al. Clinical diagnostic criteria of IgG4-related sclerosing cholangitis 2012[J].J Hepatobiliary Pancreat Sci,2012,19(5):536-542.
[4]LIU W,CHEN W,HE X,et al. Poor response of initial steroid therapy for IgG4-related sclerosing cholangitis with multiple organs affected[J].Medicine(Baltimore),2017,96(12):e6400.



