英文名称 :pancreatic panniculitis
中文别名 :结节性脂肪坏死
胰腺性脂膜炎又称为结节性脂肪坏死(nodular fat necrosis),或胰腺性皮下脂肪坏死(pancreatic subcutaneous fat necrosis),是一种罕见的胰腺疾病相关的小叶脂膜炎。临床上皮损与Weber-Christian病不能区分,被归为特发性Weber-Christian病。
皮下结节可发生在急性和慢性胰腺炎、胰腺肿瘤、胰腺假囊肿、胰腺外伤、胰腺门静脉瘘的患者。其中大约2/3患者为胰腺炎,1/3为胰腺癌。胰腺炎患者中有65%为严重酗酒引起的酒精性胰腺炎。胰腺癌中,男女比例约为5∶1,腺泡细胞胰腺癌发生脂膜炎的概率较高。一般胰腺肿瘤伴发脂膜炎,往往提示发生转移,平均存活期不超过6个月。一些慢性胰腺炎或隐匿性胰腺炎患者的一般症状常不典型,可表现为消化不良、糖尿病等,须经影像学等检查才能证实,脂膜炎皮损可能是潜在胰腺疾病的最早表现,因此可能成为胰腺疾病诊断的重要线索。
胰腺疾病时,胰蛋白酶和淀粉酶促进血管壁通透性增加,导致脂肪酶进入组织,水解中性脂肪生成甘油和游离脂肪酸,最终导致脂肪坏死和炎症产生。血清酶水平高低与胰腺性脂膜炎严重程度不完全一致。脂肪酶可进入淋巴管和门脉循环,然后向远隔部位扩散。静脉瘀滞可促进此过程发生,这可能是皮损好发于四肢远端的原因。另外,免疫学因素也可能参与疾病的发生。
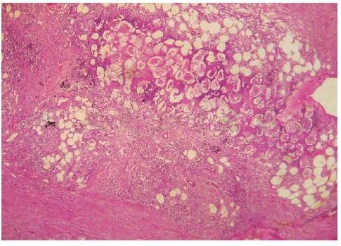
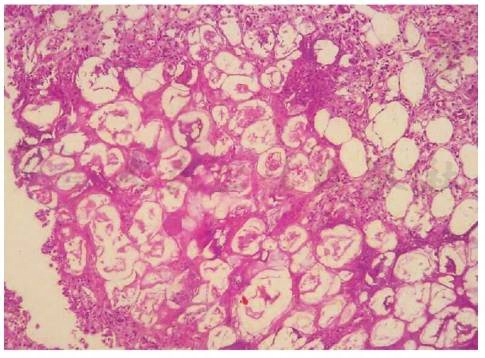
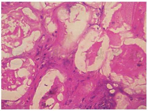
期可表现为间隔脂膜炎,间隔内血管扩张,胶原纤维增生,有淋巴细胞、中性粒细胞、多核巨细胞、少许嗜酸性粒细胞等浸润。后期逐渐出现间隔-小叶混合性脂膜炎。脂肪细胞凝固坏死,胞核消失,细胞壁变模糊,增厚,形成特征性“鬼影细胞”。脂肪被钙盐皂化生成嗜碱性物质,呈颗粒状或均质状沉积。病程晚期纤维化,脂肪组织萎缩(图1~图3)。

图1胰腺性脂膜炎病理(一)
引自:朱德生皮肤病学.第5版.ISBN:978-7-117-29665-6.主编:

图2胰腺性脂膜炎病理(二)
引自:朱德生皮肤病学.第5版.ISBN:978-7-117-29665-6.主编:

图3胰腺性脂膜炎病理(三)
引自:朱德生皮肤病学.第5版.ISBN:978-7-117-29665-6.主编:



