英文名称 :acanthocytosis
中文别名 :棘形红细胞增多症
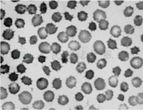
刺状红细胞增多症(acanthocytosis)主要见于先天性β脂蛋白缺乏症,偶见于McLeod表型和其他情况(如部分In表型、神经性厌食等)。刺状红细胞的形态特征是:红细胞致密、浓缩,中心淡染区消失,表面有许多(5~10个)细长的刺状突起(图1)。刺状红细胞不同于棘形细胞(echinocytes,又称“burr”cells)。棘形细胞的表面突起相当一致,呈短细钉状,血涂片上见到的棘形细胞可系人为因素造成(如pH值增高、接触玻璃或血液储存),但也可见于长跑时轻度溶血性贫血以及低磷血症、低镁血症(可能由细胞内ATP储存减少引起)、尿毒症和丙酮酸激酶缺乏。另外,肝病患者外周血涂片也可见到棘形细胞(可能与导致棘形细胞的异常高密度脂蛋白结合到红细胞表面有关)。

图1刺状红细胞增多症血象×1000
红细胞变形、表面形成棘刺突起。
1.先天性β脂蛋白缺乏症(abetalipopro‐teinemia,ABL)
本症极少见,为常染色体隐性遗传,国内尚无报道。
本症的主要病变是肝细胞内合成的β载脂蛋白分泌障碍,导致血浆β载脂蛋白缺乏,从而使已合成的甘油三酯不能从肠黏膜转运出去,含有β载脂蛋白的乳糜微粒、极低密度脂蛋白(VLDL)和低密度脂蛋白(LDL)缺乏,血浆甘油三酯近乎缺乏,胆固醇和磷脂明显降低。在卵磷脂消耗的情况下,血浆神经鞘磷脂相对增加。血脂异常与刺状红细胞增多的关系尚不很清楚。可以肯定的是,刺状红细胞的形成源于血浆,而且刺状红细胞只限于成熟红细胞,并不影响红细胞前体。因为红细胞膜脂质与血脂易于交换,因而推测血浆神经鞘磷脂相对增加使红细胞膜外半层中的神经鞘磷脂过量。而神经鞘磷脂的流动性较其他磷脂差,这可能与红细胞膜流动性下降有关。另外,血浆卵磷脂胆固醇酯转移酶活性降低和维生素E缺乏引起的膜易于氧化是否与刺状红细胞的形成有关,尚不清楚。肠道脂肪吸收障碍,可引起脂肪泻及脂溶性维生素A、D、E和K缺乏。
2.McLeod表型
McLeod综合征是由于Kell血型系统X连锁异常,导致受累细胞缺乏Kx抗原。主要特点是轻度溶血性贫血、外周血中出现刺状红细胞、多染性红细胞、红细胞大小不均匀。



