作者
俞光岩;吴奇光;邹兆菊
概述
导管异常可有导管缺失、扩张及开口位置异常,导管扩张包括主导管扩张及末梢导管扩张。
此内容为收费内容
X线表现
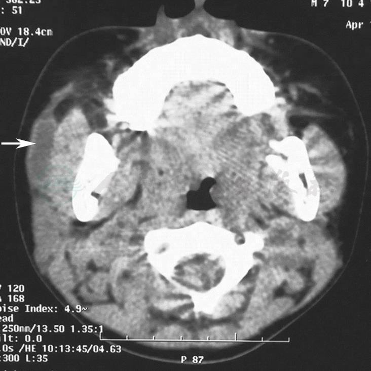
唾液腺造影显示腮腺或下颌下腺主导管囊状扩张,可以延及某些叶间导管。无继发感染史者,导管壁光滑(图1、2)。有继发感染史者,导管壁变得不光整。B超显示导管所在处无回声团块,呈管状结构(图3)。CT表现为沿导管走行方向呈管状的软组织病变(图4)。
唾液腺在出生时,即可有单个或多个末梢导管扩张,唾液腺造影显示腮腺轮廓正常。但末梢导管呈点状扩张影像,与复发性腮腺炎相似。有的学者注意到末梢导管先天性扩张与支气管扩张同时存在。

图1先天性腮腺导管扩张(腮腺造影侧位)
左腮腺主导管高度扩张,某些叶间导管扩张不整

图2先天性下颌下腺导管扩张(下颌下腺造影)
左下颌下腺主导管腺内段高度扩张呈囊状,伸展到小叶间导管,边缘光整

图3先天性腮腺导管扩张(声像图)
腮腺主导管呈囊状扩张的无回声结构

图4先天性腮腺导管扩张(CT)
显示为沿腮腺导管走行方向呈管状的软组织病变
此内容为收费内容
来源
实用口腔科学,第3版,978-7-117-11190-4,2009.06
实用口腔科学(第4版),第4版,978-7-117-22975-3,2016.01



